宫腔粘连是指子宫腔内出现瘢痕组织。1894年,Heinrich Fritsch 首先描述并报道了第一例宫腔粘连。1948年,Joseph Asherman总结了表现为闭经及宫颈内口狭窄等症状的29例宫腔粘连的病例。因此,当宫腔粘连同时伴有月经不调及不孕等一系列症候群时称为“Asherman综合征”。目前,Asherman综合征和宫腔粘连这两个词经常互换使用。但是,由于非妊娠因素所致的宫腔粘连,常称为“Asherman综合征”[1]。


流产是指在获得有生机儿前终止妊娠。那么什么是有生机儿?疾病预防控制中心(CDC)和世界卫生组织(WHO)定义流产为妊娠不足20周或胎儿体重不足500g而终止妊娠者 [2]。在尼日利亚和大多第三世界国家,流产为妊娠不足28周而终止妊娠者,包括自然流产及人工流产[3]。


流产的流行病学


关于流产及其并发症发生率的确切数据很难确定,尤其是在法律严格限制流产的国家。据估计,在世界范围内,每年人工流产达260至530万人次。疾病预防控制中心报道2008年美国15至44岁妇女终止妊娠的比率为16/1000,与1999年相比降低了4%[5]。同年全球范围内估计,年龄在15至44岁妇女中,人工流产的比率为28/1000[6]。其中,西欧比率最低,而东欧最高为43/1000[6]。在尼日利亚,15至49岁妇女中,2012年全年人工流产达125万人次,相当于33/1000[7]。


不安全流产是国家重大公共卫生问题。在大多数发展中国家,如尼日利亚,因流产服务本身受严格限制或费用高昂,女性获得流产的机会减少。流产的方法包括药物流产及手术流产,手术流产包括扩宫、刮宫或使用真空负压吸引装置。具体需要根据孕周及病人的意愿,选择药物或手术流产。它们都是安全、有效的终止妊娠的方法[8]。但是与手术流产相比,药物流产需要更长的时间排出胚胎。

药物流产的两种常用药物是拮抗孕激素类的米非司酮和前列腺素类的米索前列醇。它们被批准用于终止70日以内的妊娠。另一种药物流产的方法是阴道放置米索前列醇后使用氨甲喋呤,它终止妊娠的成功率达88-96%[9],缺点是完全流产所需时间长。


尼日利亚贝宁城的一项研究发现,超过70%的流产通过刮宫术完成,同时超过70%的女性一生中至少有一次流产史[10]。这无疑对宫腔粘连的产生造成了影响。刮宫术后未使用抗生素的女性患子宫内膜炎的风险提高5-20%,故推荐术后预防性应用抗生素,因其可降低50%的感染风险[11,12]。但是,药物流产后预防性应用抗生素目前仍有争议。


孕中期流产的病死率更高,因为该期软产道裂伤及胎骨胎盘等滞留风险高,故孕中期流产应严格掌握适应证。约10%的孕中期行药物引产的患者,因胎盘胎骨滞留需行刮宫术[13]。


宫腔粘连的流行病学


宫腔粘连的发病率尚不明确,因为许多潜在宫腔粘连的患者没有任何症状。Hooker等人的一项荟萃研究显示,对912例自然流产或药物/手术流产的患者(80%行刮宫术)行宫腔镜检查,宫腔粘连的发病率为19.1%[14]。


因此,最常见的诱发宫腔粘连的因素可能是刮宫术。妊娠子宫或近期有过妊娠史的子宫,如流产、终止妊娠等,损伤了子宫内膜基底层[15]。宫腔粘连也可继发于剖宫产术、子宫肌瘤剔除术(开腹及宫腔镜/腹腔镜子宫肌瘤剔除术)、B-Lynch缝合术、宫内节育器置入术、感染(如血吸虫病和生殖道结核)和生殖道畸形的矫形手术[16]。胚胎停止发育的时间与刮宫术的时间间隔越长,组织机化的可能性越大,宫腔粘连的发病率越高[17]。同时,刮宫次数越多,宫腔粘连的发病率越高:一次刮宫术后患宫腔粘连的风险为16%,三次或以上者则提高至32%[18]。


子宫内膜基底层损伤后,肉芽组织形成,两个对立面融合即形成宫腔粘连,瘢痕组织可充斥部分或整个宫腔。用电子显微镜评估重度宫腔粘连的子宫内膜腺上皮细胞,发现亚细胞结构显著改变,如核糖体丢失、线粒体肿胀、血管闭合和细胞乏氧改变[2]。 


宫腔粘连的诊断


宫腔粘连易被漏诊,它的常见症状包括:月经失调,如月经减少及闭经;周期性下腹痛;复发性流产及不孕。辅助检查包括:


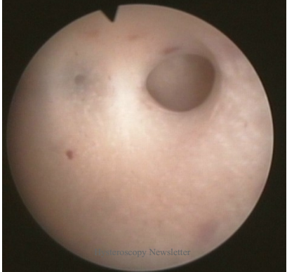
宫腔镜检查:诊断的金标准。宫腔镜可直视宫腔内是否有粘连,评估其严重程度,也可直视正常子宫内膜覆盖宫腔的范围,对疾病预后的评估给予指导。


子宫输卵管造影(HSG):显示子宫腔内的充盈缺损。


生理盐水宫腔声学造影(SIS):HSG和SIS诊断宫腔粘连具有同样的灵敏度,为75% [19]。


经阴道超声(TVS):虽然有经验的超声科医生可以通过TVS诊断宫腔粘连,但通常该方法不可靠。三维超声对Asherman综合征的诊断更有益处。


磁共振成像(MRI):在宫腔粘连的诊断中不常用。


宫腔粘连的治疗


最近Hysteroscopy Newsletter刊登了一篇关于Asherman综合征治疗方面的文章。既往,宫腔粘连在盲视下进行粘连的分离。但是,各治疗方式之间没有随机对照试验进行比较。因此,治疗效果在很大程度上取决于医生的经验、病例本身的特点以及患者个性化的需求。


无症状且没有生育要求的宫腔粘连患者一般不予治疗。有报道称七年内有78%的患者月经自发恢复[20]。宫腔粘连是宫腔镜检查的常规适应症[21]。


宫腔粘连治疗的目的是恢复宫腔的正常解剖,预防粘连复发。重度粘连手术中可能产生假道,故建议在超声监护下施术,也有人提倡腹腔镜或X线透视监护下施术。宫颈狭窄的患者术前晚使用米索前列醇,可确保手术中宫颈容易扩张。


轻度粘连宫腔镜检查中即可予以顿性分离。一些医生认为宫腔镜下剪刀剪开粘连带对子宫内膜的损伤小,但另一些医生主张使用能量器械分离粘连,包括单极和双极,即使能量器械具有较高损伤子宫内膜的风险[1, 22 ]。


其他报道的治疗方法,包括激光治疗(NdYAG,钇铝石榴石和KTP,磷酸钛氧钾),由于成本高且对子宫内膜损伤大,该方法已基本废用。传统的开腹子宫切开直接分离宫腔粘连的方法目前已很少使用,只有在其他治疗方法无效的重度宫腔粘病例才考虑使用。


宫腔粘连的预防


宫腔粘连的复发对生殖结局不利,故应制定预防措施以减少复发。


宫内节育器(IUD)


宫腔粘连分离术后放置IUD起到物理屏障的作用。常用的IUD是Lippes环,由于经济原因目前已停产。带铜的T型IUD可使子宫内膜发生无菌性炎症改变,它的缺点是表面积小。


我们在临床实践中发现,一些严重的宫腔粘连患者宫腔内不能放置Foley尿管,但可以放置带铜的T型IUD(先把IUD上的铜去掉),但是疗效还有待临床进一步验证。


Foley尿管


Foley尿管也起到物理屏障的作用。在一个非随机对照研究中,宫腔粘连术后宫腔内留置10天Foley尿管与术后放置3个月IUD的疗效相比,放置Foley尿管组感染率及复发率更低[23]。Foley尿管组术后闭经率为19%,IUD组为38%。当然,两者的疗效仍需大样本临床数据进一步验证 [24]。

宫腔球囊支架


宫腔球囊支架与Foley尿管有类似的作用,但因其具有与宫腔相一致三角形的形状而更具优势。一个107例宫腔粘连的临床研究显示,宫腔球囊支架与IUD或透明质酸钠凝胶相比,粘连复发率明显减少[25]。


宫腔注入凝胶


最新的一项系统回顾及荟萃分析显示宫腔注入凝胶可有效预防宫腔粘连的复发[26]。


子宫内膜再生


目的是宫腔粘连术后刺激子宫内膜生长。临床报道的雌激素药物的种类、剂量和治疗时间各不相同(加用或不加用孕激素)。目前没有大规模临床研究比较各种用药剂量及联合用药方法间的优劣[1,7]。有报道称宫腔粘连术后使用增加子宫内膜血流的药物可促进子宫内膜生长,包括阿司匹林、硝酸甘油及枸橼酸西地那非等,但该方法相对较少使用。


新进展


涉及子宫内膜干细胞的相关研究。

 

患者的随访及治疗结局


对于宫腔粘连而言,长期的监测、管理及随访很重要。评估方法包括门诊宫腔镜检查、生理盐水宫腔声学造影及子宫输卵管造影。有研究表明轻至中度宫腔粘连的复发率为33%,重度者复发率为66%[24]。

 

参考文献(略)

本文译自www.hysteroscopy.info


-完-