为提高我国出生人口素质,政府及相关部门对围产医学及围产期保健予以的高度重视。卫生部于2002年颁布了《产前诊断技术管理办法》,进一步规范产前诊断技术,为减少出生缺陷保证母婴平安搭建了很好的平台。超声检查可对胎儿形态结构、胎儿生长指标、胎儿行为、胎儿附属物(胎盘、脐带、羊水)及胎儿血流动力学变化进行观察和检测。其以诊断准确、安全性高等优势成为目前产科筛查中不可缺少的影像检查手段。
如上所述,超声检查在妊娠早期、晚期不同的孕周可以观测其胚胎至胎儿的发育过程。孕5周可以看到宫腔内的胎囊结构;孕6-7周胎心出现;孕7-8周可以看到原始心管搏动;孕9周初始胎盘形成;孕10周可以观察到胎心及胎动;孕11-12周胎儿颅骨可以较清晰的显示,胃泡、膀胱亦可显示。产科筛查一般从妊娠20周开始,此时胎儿头颅结构、脊柱、肝脏、胃泡、膀胱、四肢显示清晰;孕24周检查胎儿心脏结构更为适宜。妊娠晚期超声检查主要在于进一步确认胎儿有无结构畸形外,重点在于胎儿各项生长指标(双顶径、头围、腹围、股骨径)的监测及胎位、胎盘成熟度、羊水量、胎儿体重的估算等。
一、超声检查选择的时机与内容:
1、妊娠11-14周检查主要测NT值并检查严重的结构畸形。
2、妊娠20-24周胎儿畸形的筛查与诊断。
3、妊娠28-32周第二次筛查,以补充第一次筛查中所遗漏的问题。
4、妊娠36-40周检查,主要观察胎儿胎位、胎儿大小、胎盘成熟度、羊水量、脐带血流、估计胎儿体重等情况。为选择分娩方式及能否顺利分娩提供信息。
二、产科常用数据的测量方法
胎囊参数测量
1、胎盘测量前的准备:胎囊测量以孕5~10周为宜,胎囊测量前要求适度充盈膀胱,择其最大纵、横内径测量,胎囊形态极易受膀胱、直肠充盈度的影响,膀胱过度充盈可使胎囊变形,充盈欠佳则显影不良。因此认为以胎囊测量数值推算胎龄准确性较差。
2、妊娠胎囊测量方法:[见图1]

图1 妊娠胎囊测量
公式计算法:
胎囊(cm)=0.72×孕周-2.543(平均内经)
胎囊(cm)=0.72×孕周-2.89(最大纵径)
查表法见表1:
表1 孕6-12周的胎囊与孕龄的关系
孕周 均值(cm) 标准差(cm) 95%标准差范围(cm)
6 3.05 0.85 2.20 - 3.90
7 4.06 0.89 3.17 - 4.95
8 4.75 1.14 3.61 - 5.89
9 5.90 1.15 4.75 - 7.05
10 6.28 1.69 5.12 - 7.37
11 7.24 1.50 5.74 - 8.74
12 7.74 1.90 5.84 - 9.64
(一)胎儿头臀径的测量[见图2]

图2 头臀径的测量
胎儿头臀径系指胎儿头顶至臀部间的最大距离,此径线被认为是估算胎儿的最准确的方法,如未找到顶臀最大径线,或将卵黄囊测量在内均会出现数值偏小或偏大,此参数适合在孕6~12周测量,寻找出头臀径三次取其平均数。
头臀径的估算方法:
孕龄(周)= 胎儿坐高 + 6.5
胎儿坐高与孕龄关系,见表2:
表2 胎儿坐高与孕龄的关系
孕周 均值(cm) 标准差(cm) 95%标准差范围(cm)
7 1.33 0.37 0.59 - 2.07
8 1.66 0.44 0.78 - 2.54
9 2.15 0.62 0.91 - 3.39
10 2.83 0.88 1.07 - 4.59
11 3.62 1.18 1.26 - 5.98
12 4.58 1.50 1.58 - 7.58
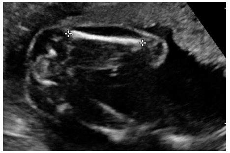
(二)胎儿颈项部位透明层(Nuchal translucidity ,NT)厚度测量,见图3

图3 胎儿颈项部位透明层
检查孕周在11-13周+6天之间进行,测量方法:在胎儿体位自然屈曲时,取正中矢状切面时,显示胎儿颈背部皮下组织,测量其皮肤与脊柱表面软组织间无回声区的最大径线。 NT正常值≤0.30cm, NT大于正常,据文献报道约10%为胎儿染色体异常,应建议临床医师行染色体检查。 NT正常范围:孕10周≤0.18cm, 孕11周≤0.19cm,孕12周≤0.21cm,孕13周≤0.25cm,也可采用平均值孕10-13周,NT≤0.25cm。见图4

图4 NT正常范围
(三)胎头的测量
胎儿颅骨环在孕12周显示清晰,胎头测量内容多,双顶径(BPD)、头围(HC)、枕额径(OFD)、胎头的面积(HA)等。常用双顶径和头围.
在测量双顶径及头围前必须先找出颅骨的标准切面,此切面接近丘脑的冠状断面,这个断面为两个丘脑均呈椭圆形,此为颅骨最大径,也为测量胎头的标准平面。
1、 双顶径测量方法:见图5

图5 双顶径测量
找出胎头标准平面后测量其最大横径,测量指示点:近场颅骨壁外缘至远场颅骨壁内缘。双顶径在31周前平均每周增大0.3cm,孕31~36周平均增长0.15cm,孕36周后平均每周增长0.1cm。见表3
表3 胎儿双顶径与孕龄的关系
孕周 孕值(cm) 标准差(cm) 95%标准差范围(cm)
12 2.29 0.47 1.35 - 3.32
13 2.48 0.56 1.36 - 3.60
14 2.28 0.49 1.84 - 3.80
15 3.20 0.31 2.58 - 3.82
16 3.59 0.47 2.56 - 4.53
17 3.68 0. 49 2.70 - 4.66
18 4.29 0.47 3.35 - 5.23
19 4.49 0.44 4.08 - 5.68
20 4.88 0.40 4.08 - 5.68
21 5.16 0.42 4.32 - 6.00
22 5.22 0.55 4.32 - 6.32
23 5.90 0.12 5.06 - 6.74
24 6.10 0.66 5.44 - 7.42
25 6.42 0.34 5.68 - 7.16
26 6.62 0.48 5.66 - 7.58
27 6.90 0.47 5.96 - 7.84
28 7.24 0.40 6.44 - 7.68
29 7.24 0.40 6.44 - 8.04
30 7.51 0.29 6.93 - 8.09
31 7.75 0.30 7.15 - 8.35
32 8.00 0.26 7.48 - 8.66
33 8.20 0.23 7.74 - 8.66
34 8.84 0.22 7.96 - 8.84
35 8.54 0.22 8.44 - 9.32
36 8.69 0.26 8.17 - 9.21
37 8.88 0.22 8.44 - 9.32
38 8.99 0.22 8.55 - 9.42
39 9.12 0.25 8.62 - 9.62
40 9.19 0.23 8.73 - 9.65
41 9.16 0.17 8.82 - 9.50
双顶径准确性受多种因素影响。测量时一定要选择胎头为椭圆形,两侧大脑半球相等,脑中线居中为断续显示,并显示丘脑结构,在此切面测量双顶径较为准确。
2、 头围(HC)测量方法:[见图6]

图6 头围(HC)测量
头围的测量较为准确,可以弥补双顶径的误差。测量方法;利用超声仪器圆周的描记功能来定的。
(四)腹围(AC)
胎儿腹径及腹围的测量亦须找出标准平面,腹围标准平面是在胎儿脐部与脊柱垂直平面,胎腹内可看到脊柱、脐静脉、胃泡及肝脏。
胎儿腹围测量方法:应用圆周功能键,得出腹围数。[见图7]

图7 胎儿的腹围
胎儿腹围与孕周关系,见表4
表4 胎儿腹围与孕周关系
孕周 孕值(cm) 标准差(cm) 95%标准差范围(cm)
21 80.4 4.6 71.4 - 89.4
22 8 1.6 5.4 71.0 - 92.2
23 81.2 4.7 73.0 - 90.4
24 82.7 5.3 72.3 - 93.1
25 83.9 4.9 74.3 - 93.5
26 84.9 5.0 75.1 - 94.7
27 86.6 5.8 75.2 - 98.0
28 87.2 5.4 76.6 - 97.8
29 87.2 5.5 76.4 - 98
30 87.8 5.8 76.4 - 99.2
31 89.0 5.6 78.0 - 100.0
32 89.8 5.3 79.4 - 100.2
33 90.4 5.4 79.8 - 101.0
34 90.8 5.2 81.6 - 102.0
35 92.6 5.3 81.6 - 103.0
36 92.4 5.5 81.6 - 103.2
37 93.3 5.0 83.5 - 103.4
38 94.2 5.0 84.4 - 104.0
39 94.5 5.2 84.3 - 104.7
40 94.9 5.0 85.1 - 104.7
41 95.5 4.8 86.1 - 104. 9
(五)股骨的测量[见图8]

图8胎儿的股骨测量
胎儿肢体长短的测量可推测孕龄,亦可推测胎儿死亡时间,并且对胎儿短肢畸形的诊断与发现有价值。孕15周就可以测股骨长,首先找出股骨最长径线,测量两端间距。
胎儿股骨与孕龄关系,见表5
表5 胎儿股骨与孕龄关系
孕周 股骨长度(cm)
16 2.2
20 3.4
24 4.4
28 5.4
32 6.3
36 6.9
40 7.5
(六)胎儿多参数的测量
目前常用的参数为BPD双顶径、HC头围、AC腹围、FL股骨,多参数可弥补单个参数的误差,可以提高孕龄估计的准确性,还可以估计胎儿身体各部分生长情况。
(七)羊水的测量
羊水与胎儿有密切的关系。因此也最能反映胎儿的生理和病理状态。正常情况下羊水量随妊娠的进展而增加,至孕38周达高峰,孕42周后,羊水量迅速下降。正常足月羊水量为1000ml,如羊水量少于500ml为羊水少,羊水量超过2000ml成为羊水过多。
1、 羊水的超声表现和测量:
羊水回声为清亮液体,早中期,胎儿漂浮在羊水中,晚孕期羊水在胎儿的四周。
晚期常见羊水中浮着点状胎脂,或较密集的胎脂。
2、 羊水测量的方法:[见图9]

图9 羊水的测量
a、羊水深度测量:垂直水平测量羊水的最大深度
b、羊水指数测量:在羊水过少情况下需要测量四个象限的羊水,以肚脐为中心划一个“+”字,分别测量右上、右下、左上、左下的羊水深度.其和小于8.0cm为羊水过少,大于25.0cm为羊水过多。
目前多采用探头垂直水平测量羊水最大深度,规定为小于等于3cm为羊水过少,3~8cm为正常,大于8cm为羊水过多。见表6
表6 各孕周羊水深度
孕周 均值(cm) 标准差(cm) 孕周 均值(cm) 标准差(cm)
14 3.31 0.79 27 5.47 0.74
15 3.60 0.85 28 5.54 0.82
16 3.55 0.63 29 5.50 0.75
17 3.93 0.96 30 5.50 0.75
18 4.14 0.72 31 5.51 0.66
19 4.30 0.68 32 5.48 0.68
20 4.55 0.74 33 5.49 0.65
21 4.63 0.68 34 5.48 0.68
22 4.78 0.74 35 5.40 0.57
23 5.09 0.68 36 5.42 0.66
24 5.09 0.74 37 5.23 0.66
25 6.34 0.80 38 5.11 0.71
26 5.42 0.74 39 4.95 0.71
(八)超声对胎儿各孕周体重的测量
产科医生在产前对胎儿体重的估算常常依赖于母体的腹围及宫底来估计而成,往往依赖临床经验。而超声检查根据胎儿双顶径、头围、腹围及股骨长度多个生长参数估算胎儿体重。
数年的临床实践证明应用双顶径,头围,腹围,股骨径,取其任何一种测量观测胎儿的生长发育都不能达到预期的效果,应用多种参数测量综合分析以弥补一种测量方法带来的误差,多种参数测量可较为准确的估计胎儿身体各部位的生长情况,提高对妊娠周数估算的准确性.在临床工作中对于产科触诊不满意或估计胎儿过大及宫内发育迟缓的胎儿可以用多种参数测量方法描记生长曲线图,(见图10)以测算胎儿的生长状况.图中描记点若高于三条线中的最高线时胎儿生长则超于正常孕周,若低于最低线时则表示胎儿发育迟缓。出现异常状况时产科医生则需要寻找影响胎儿生长发育的原因。

图10 生长曲线图
胎儿体重预测:
表7 各孕周体重
孕周 身长(cm) 体重(克)
孕21周 17 300
孕22周 18 350
孕23周 19 400
孕24周 25 500
孕25周 30 600
孕26周 34 750
孕27周 38 900
孕28周 40 1100
孕29周 42 1300
孕30周 44 1700
孕31周 46 2000
孕32周 47 2100
孕33周 48 2200
孕34周 49 2350
孕35周 50 2500
孕36周 50 2750
孕37周 51 3000
孕38周 51 3100
孕39周 51 3200
孕40周 51 3300~4000
总之超声检查对胎儿无创伤,其安全性高诊断较为准确,是目前产科首选的检查方发,但超声检查不等同于病理诊断,它具有一定的局限性,如产科超声检查受母体肥胖,胎儿宫内姿势,胎儿骨骼声影,羊水量多少等各种因素影响,某些胎儿器官或部位可能会不显示或显示不清。另外胎儿生长发育是一个动态发展过程,在其器官结构没发展到一定阶段或没发育到某种程度时,超声检查是不易发现的,某些胎儿结构异常可能会在胎儿发育过程中逐渐显示出来,如:胎儿心脏异常,胎儿肾脏异常等。当然超声作为一种产科筛查手段所涵盖的内容很多,它包括检测产科生理和产科病理的许多内容,本章节只对胎儿生长参数予以交代,使已经妊娠的妈妈们对胎儿的生长发育和超声检查的作用,以及对胎儿生长指标值和各孕周胎儿体重值有所了解。
妇产科在线APP下载








