病历摘要
患者,女性,38岁,未婚育,因“下腹胀半年余”入院。半年前无明显诱因出现下腹胀,进行性加重,无腹痛,病程中否认发热、恶心、呕吐、黑便等不适。患者在外院检查时发现腹盆腔肿块,于2011年4月8日在外院接受剖腹探查,术中发现肿块可分为三部分并相互融合:中间部分来源于子宫;右侧部分来源于后腹膜,与后腹膜血管关系密切;左侧部分与腹膜紧密粘连而难以探明来源。遂行次全子宫切除+盆腔肿瘤活检术。术后病理示子宫静脉内平滑肌瘤病;盆腔肿块活检示平滑肌瘤组织。
入院体格检查:神志清,皮肤、巩膜无黄染,全身浅表淋巴结未及肿大,腹隆,腹盆腔可扪及腹块,直径约30 cm,质地中等偏硬,边界清,活动度差,呈分叶状,局部压痛明显,余腹未及明显压痛、反跳痛,肝脾肋下未及,腹水征(-);直肠指检未及腔外肿块,指套无染血。
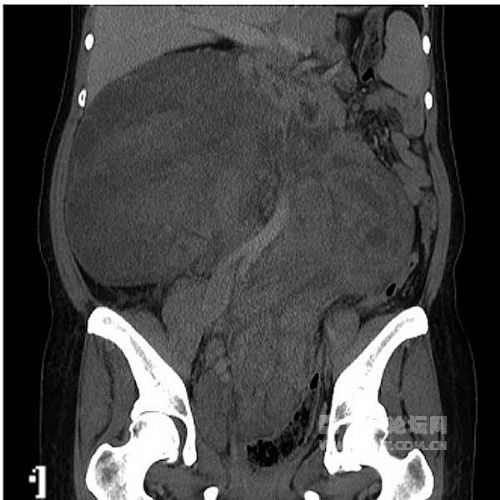
辅助检查:CT示腹盆腔巨大肿块;右侧髂静脉、下腔静脉、右心房及右心室瘤栓形成;右肾、双侧输尿管、膀胱、血管及消化道均受压推移。实验室检查示癌抗原125(CA125)为44.2 IU/ml,神经元特异性烯醇化酶(NSE)为17.0 ng/ml,雌二醇为1486 pmol/L。
诊断:患者第一次手术病理经本院病理科会诊后被确诊为子宫静脉内平滑肌瘤病。
分析讨论
第一阶段:了解疾病,寻找对策
要点 经过MDT讨论后,大家认识到该疾病为良性疾病,但其生长方式为侵袭性,手术是唯一根治的手段,同时大家也对手术治疗的可行性进行了论证。
第二阶段:完善的术前方案制定
要点 与术前手术方案有关的几个关键问题摆在了众多参与讨论专家的面前。围绕着这些重要问题,专家组又进行了多次会诊和讨论。
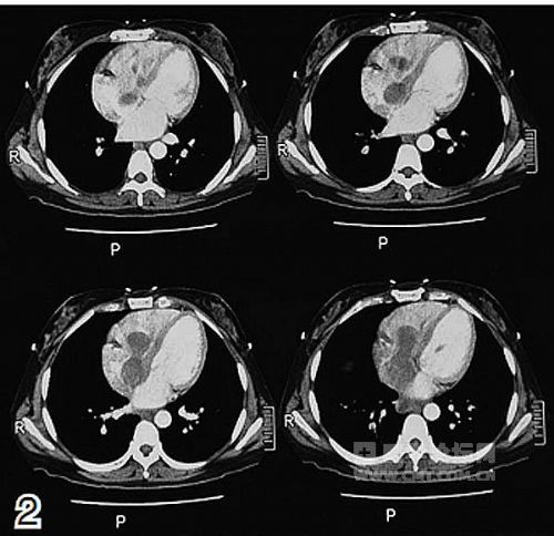
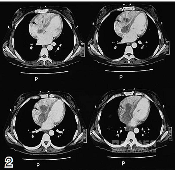
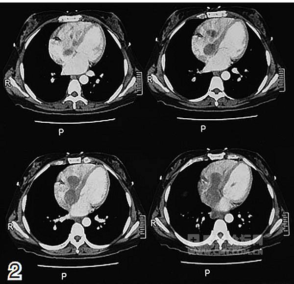
放射科:该患者的CT及磁共振成像(MRI)检查显示,腹盆腔内有巨大不规则软组织密度影,边界不清,病灶推压临近肠管、胰腺、右肾及膀胱,右侧髂静脉、下腔静脉、右心房及右心室内可见充盈缺损影,考虑子宫平滑肌瘤病累及下腔静脉及右心房(图1~2)。
病理科:该患者经病理会诊被证实为子宫静脉内平滑肌瘤病,又称静脉内平滑肌瘤病(intravenous leiomyomatosis,IVL)。该病是一种少见的特殊类型子宫肿瘤,肿瘤在组织学上呈良性增生,但是具有侵及静脉和淋巴管的不良生物学行为,常常超出子宫范围,沿宫旁静脉、髂静脉延伸达下腔静脉,甚至累及右心或肺动脉,成为心脏内平滑肌瘤病(intracardiac leiomyomatosis,ICL)。
妇产科:IVL患者接受单纯子宫肌瘤去除术后的复发率高,预后不良,仅适合于年轻未育而需要保留生育功能的妇女。≤45岁或无子宫外脉管内浸润者可接受全子宫切除术,而>45岁或有子宫外脉管内浸润者则应接受全子宫+双侧附件切除联合浸润病灶切除术,术中高位结扎卵巢动、静脉,髂内静脉属支内瘤栓如不能接受完整切除,应高位结扎患侧以阻断瘤栓向下腔静脉蔓延,尽可能切除子宫外肉眼可见的病灶,可减少复发、改善患者预后。
普外科:由于该病为良性病变,手术是唯一的救治方式。该患者的病变巨大且累及范围广,与周围脏器如肠道、胰腺、膀胱和输尿管发生广泛粘连。因此,手术面临着三大问题:需要联合多脏器切除、大出血和术中肿瘤脱落。
心外科:下腔静脉至右心房肿瘤的临床症状出现缓慢且表现不典型,临床表现与静脉阻塞部位和程度有关。早期患者常无明显症状,当瘤体较大时可阻塞下腔静脉或三尖瓣口,血液回流受阻,可出现下肢水肿,腹壁静脉曲张,心悸、气促等表现,瘤体阻塞三尖瓣口还可致体位性低血压、晕厥和猝死。目前超声显示,瘤体自右侧髂静脉分叉水平向上延伸,沿下腔静脉进入右心房并跨过三尖瓣右心室,如果不手术则患者随时面临死亡的风险,但手术风险极大。如进行手术,为防止术中肿瘤脱落,可先行深低温体外循环下开胸取瘤。
泌尿外科:该患者盆腹部肿块推移压迫右肾、双侧输尿管及膀胱,手术可能会切除右侧肾脏及输尿管,术前应评估双肾功能,以确保左侧肾功能完好,术前可行双侧输尿管双J置管。
肿瘤内科:鉴于该病为良性病变,没有放化疗的治疗指征,可尝试抗雌激素治疗。
Q1
手术虽是解除疾病的唯一选择,但难度大、风险大,患者极有可能因术中大出血、肿瘤脱落等不确定因素导致下不了手术台,手术组医生将承担极大风险。
·普外科、心外科、妇产科、血管外科、泌尿外科、影像科、麻醉科、输血科等多学科、多部门需要开展密切协作,才能保证手术的顺利进行,其中任何一个环节出现意外,直接后果便是患者的死亡。
Q2
手术应先取出血管、心脏内的那颗“定时炸弹”,还是先切除腹腔内的巨大肿瘤?
部分专家认为,应采取胸腹联合术式一次完成,但这对麻醉技术的要求高,创伤大,手术时间长,增加了重要脏器的缺血性损伤和凝血功能障碍等危险。而另一部分专家认为,应分两次手术进行,其优点是避免了体外循环肝素化血液不凝固引起出血的风险,可减小肿瘤播散和肺栓塞风险,但也有很多不确定风险,如第一次心脏及静脉内血栓不能取净、再次手术间期瘤栓可能脱落等。
·麻醉科:心外科体外循环需肝素化,而腹部肿瘤切除需保证正常凝血功能、减少出血。为解决该矛盾,可在心外科完成手术后采用鱼精蛋白拮抗肝素作用,检测国际标准化比值(INR)并使其保持在1.2以下,以保证腹部手术安全进行。
·普外科:该患者冒极大风险接受手术,成功的关键在于要获得心脏、静脉内和腹盆腔内所有病灶的完整切除,所以我们更倾向一次完成手术。但该患者的病灶血供丰富,与周围脏器及血管关系密切,累及髂静脉、下腔静脉、右心房及右心室,开胸取栓应充分考虑肿瘤与腔静脉粘连的可能。如果不能完整地将肿瘤从右心取出,应术中放置滤网,预防腔静脉切开取瘤或下腔静脉切除时肿瘤脱落。如果要行下腔静脉部分切除,应充分评估侧支循环的建立情况,预防术后回流障碍。手术切口可采取“+”形切口,便于充分暴露。
·介入科:该患者的CT检查结果显示其病变血供丰富,术前可行数字减影血管造影(DSA)技术以进一步了解肿瘤与周围大血管关系,可以更清楚显示瘤体血管支配及走行,术前可行肿瘤供应血管栓塞,阻断瘤体血管,以减少术中出血。
·血管外科:尽管IVL生长在静脉管腔内,但该病大多数与静脉壁并不粘连。所以,无论是经右心房还是经下腔静脉均可能顺利地将瘤体完整取出。但有报道指出,少数病例肿瘤与静脉壁粘连,所以在取出静脉内肿瘤过程中,对瘤体牵拉要慎重,粗暴牵拉可能导致瘤体断裂或静脉破裂。
妇产科在线APP下载









