Ehlers-Dan1os综合征(EDS)是一组遗传性结缔组织病,发生率约1/5000,其临床特征是皮肤脆弱、易损伤,皮肤延展性过度和关节活动过度。1998年国际L根据EDs患者的基因改变、临床和生化特点将其分为1l种类型。目前已知,EDS各型的遗传方式不完仝相同,预后也不一样。其中Ⅳ型EDS即m管型EDS,发病率为1/100万~1/10万。此型虽然罕见但后果严重,病死率高,尤其是女性患者,如合并妊娠常发牛严重而危急的并发症,病死率高达5%~50%。近期本院收治了1例Ⅳ型EDS合并妊娠的患者,现结合文献报道如下。

一、临床资料
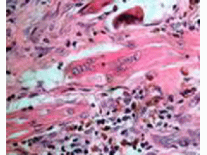
患者34岁,孕5产0。因宫内妊娠32周+l、先兆早产、胎膜早破于2010年6月20日入院。患者于2002年孕6个多月时因胎膜早破自然流产1次;2003、2004、2005年分别于孕4、3、1个多月时因胚胎停止发育而行清宫术。孕妇身高1.43 m,体质量58kg。人院后复查B超,结果提示羊水过少,羊水指数14mm。给予抑制宫缩、地塞米松促胎肺成熟、抗生素预防感染等治疗。入院第2天出现规律宫缩,并发现胎心率减慢至52次,持续8min不恢复正常,疑胎儿窘迫,遂行急诊剖宫产术,娩出一活女婴交台下抢救。缝合子宫切口后探查发现,左侧宫旁有一血肿,约6cm×7cm大小,表面紫红色,张力不大;左侧腹膜后明显肿胀,约10cm×8cm×5cm大小,表面紫蓝色,边界不清,予纱布填塞压迫并开通双管补液。患者血压下降至75/8mm Hg(1mm Hg=0133kPa),脉搏140次,呼吸24次,即予血管活性药物并加快补液速度,输血、输血浆。患者进一步出现神志不清、呼吸困难、不能应答,立即行气管插管,正压给氧处理,但患者很快发生心跳骤停,即给予持续心外按压和其他心肺复苏措施。同时延长腹壁切口后探查发现子宫收缩尚好,子宫切口处无出|血及渗血,右侧宫旁正常,左侧宫旁组织紫蓝色、水肿,后腹膜处有大血肿c切开后腹膜探查发现,腹膜后组织血染并有血块积存,清除血块见有活动性出血,估计为左髂总静脉延及下腔静脉破裂出血;探查腹腔发现胃体破裂,胃壁薄,破裂口长约5cm,破口不规则。持续抢救2h无效,临床宣告患者死亡。尸体解剖发现:患者全身体表及多器官严重失血性贫血貌,腹膜后广泛性血肿形成,主动脉管壁质脆、韧性差,管壁结构松散并变薄,腹主动脉多个小破裂口形成,多器官出血,胃体部破裂。病理检查结果:尸体呈严重失血性贫血貌;腹主动脉多个筛孔状小破裂口形成并广泛性腹膜后血肿;多器官出血;皮肤真皮内弹力纤维变性、断裂,腹主动脉管壁变薄,内外弹力膜结构不清;多器官自溶。
新生儿出生体质量1830g,Apgar评分1分钟3分,经气管插管复苏后5分钟评6分,10分钟评9分。以早产儿、新生儿重度窒息转儿科,予气管内注入肺表面活性物质、机械辅助通气、静脉营养支持、维持水电解质平衡等支持对症处理。住院过程中曾出现黄疸、肾功能不全、心功能不全、脐部及消化道出血、出凝血功能障碍、感染、贫血等,予相应治疗后好转。随访患儿7个多月龄时,体质量4730g,皮肤弹性差出现皱褶,四肢肌张力低,关节过伸,精神、反应好,会笑,少咿呀发声,会握物,大小便正常。
二、讨论
EDS又名弹力过度性皮肤、皮肤毛细管破裂,伴皮肤和关节松弛的皮肤毛细管破裂、弹力皮肤等。1901年,丹麦的Ehlcrs和Dmlos描述了本病的临床表现,并指出这些缺陷是由于结缔组织异常所致,故命名为EDs。
1、Ⅳ型EDS的病因及临床表现:Ⅳ型EDS通常为常染色体显性遗传,然而有一半的Ⅳ型EDS患者无家族史,因此可能存在常染色体隐性遗传。该病是由Ⅲ型胶原的合成、分泌和结构异常所引起,致病基因定位于Ⅲ型胶原的COBA1基因。COL3A1基囚的变化多种多样,目前报道的突变已超过100种,COLA1基因的不同突变类型与EDS患者不同并发症之间并无相关性。最近研究发现,一些具有Ⅳ型EDs临床特征的患者可能缺乏COBA1基因突变。
由于Ⅲ型胶原大多分布于血管壁、胃肠道和子宫,所以Ⅳ型EDS的主要并发症有血管破裂、肠道破裂及妊娠子宫破裂,血管的破裂可能继发于动脉瘤、动静脉瘘或m管剥离,甚至为白发性破裂。约50%的动脉并发症累及胸部或腹部的动脉,其余的包括头颈部和四肢,而其他类犁EDS中常见的皮肤松弛和关节活动过度在该类型中都不明显。此外,富含Ⅲ型胶原的空腔器官(如肠道、妊娠子宫)的破裂,以及复发性气胸均是Ⅳ型EDS的特征性表现。Pepin等和0derich等对Ⅳ型EDs患者的自然病程研究后发现,患者在儿重期的并发症罕见,20岁时25%的患者至少发生一种并发症,而40岁时80%以上的患者至少发生一种并发症。患者最常见的致死原因是动脉破裂。
Ⅳ型EDS患者的妊娠并发症包括早产(发生率21%)、骨盆痛(发生率26%)、产后出血(发生率19%)、会阴裂伤(8%)等c其中子宫破裂是Ⅳ型EDS较少见的并发症。发生率为5%~15%,一般发生于妊娠末期的2周内和分娩过程中,然而一旦发生,病情凶险,需急诊手术挽救母亲生命。妊娠期非产科并发症包括血管及内脏破裂,也是Ⅳ型EDS合并妊娠患者的常见死囚。出现部位决定了其临床表现。自发性动脉破裂是引起Ⅳ型EDS患者猝死的主要原因,常发生在妊娠晚期,好发丁主动脉的主要分支,如胸腹腔和腹膜后大动脉,因为组织脆弱、修补很困难。
Lurie等回顾性分析了26例Ⅳ型EDS妇女的50例次妊娠,10例分别在妊娠期、分娩期或产后死亡,其中2例为分娩前大血管破裂,1例为产时子宫破裂,1例为分娩时主动脉和子宫破裂,5例为产后血管破裂,1例原囚不明;16例存活的孕产妇中,5例出现并发症如严∷重的裂伤、出血、肝破裂及子宫破裂J例在流产后进行了子宫切除术。Pepin等报道了81例Ⅳ型EDS妇女的183例次妊娠,167例次活产,3例次死产,10例次白然流产,3例次自愿要求终止妊娠;12例患者在围产期或产后2周内死亡(5例出现产时子宫破裂,7例分别于产时和产后血管破裂),病死率为11.5%。
本例患者病情发展凶险,患者在胎心率减慢前腹痛明显,随后出现持续性胎`心率减慢,剖宫产术前患者已出现心率增快,血压尚正常,考虑患者在剖宫产术前已出现腹主动脉的白发性破裂,由于血管出血导致患者血容量下降、心率增快、胎`b率减慢,但由于机体处于代偿期,因此,剖宫产术前血压仍维持正常。随着腹膜后出血的增多,患者逐渐出现失血性休克的表现,最终抢救无效死亡。
Ⅳ型EDS合并妊娠时患者由于腹内压增高,还易发生胃肠道自发性穿孔,穿孔好发于乙状结肠与直肠。其他少见的内脏并发症包括自发性脾破裂,肺出l缸及自发性血气胸,肝动脉、门静脉瘘,胆道、乙状结肠、膀胱憩室,蛛网膜下腔扩张,二尖瓣脱垂等,除脾破裂和致命性肺出血外,其他并发症多不直接引起死亡。在目前国内外报道的Ⅳ型EDS合并妊娠患者中尚未见到胃体部破裂的报道,而以肠破裂为多见。本例患者胃体部破裂的原因尚需进一步探讨。
2、Ⅳ型EDS的诊断:(1)临床诊断标准:主要标准是动脉破裂,肠破裂,妊娠子宫破裂,血管型EDs家族史。次要标准有皮肤菲薄(尤其是胸部和腹部皮肤),易挫伤(自发性或有轻微外力时),特征忤面容(薄唇、小下颌、窄鼻、大眼),肢体及皮肤过早衰老,小关节活动过度,肌肉或肌腱断裂,早发的静脉曲张,颈动静脉海绵窦瘘,气胸或血气胸,慢性关节脱位或半脱位,先天性髋关节脱位,马蹄内翻足,牙龈萎缩。满足主要标准中的两项对于诊断Ⅳ型EDS具有高度的特异性,建议进一步检查以确诊,如在此基础上出现1项或多项次要标准,则支持Ⅳ型EDS的诊断。(2)病理变化:患者真皮各层均有形态学改变,真皮变薄,可减至正常的1/3;胶原纤维束细小而不规则,缺乏明显边界,结构松散,问隙增宽;弹性纤维和无定形物增加;成纤维细胞表现为不同程度的粗面内质网扩张。还可见表皮增厚分层,血管周围基底膜和神经束出现丝状带纹。真皮乳头层出现朗罕细胞,提示可能存在异常抗原刺激(3)实验室检查:包括生化检测皮肤中胶原的含量;培养皮肤成纤维细胞,检测Ⅲ型前胶原的含量;DNA序列分析证实Ⅲ型胶原CClI'3A1基囚突变。然而,胶原含量的检测有时很难进行评价而基囚诊断作。为确诊的重要方法被更多地应用于临床,通过逆转录(RT)PCR技术扩增COBA1基因的三倍螺旋区的3.8kb片段,然后直接测序证实基因突变。本例满足了动脉破裂这个主要的诊断标准,但本例患者出现F胃体部破裂而并非肠破裂,结合患者尸检报告所见,腹主动脉Im管壁存在结构异常,以及皮肤真皮层的改变,从而得以临床诊断。由于实验条件受限,未行相关基因的测序证实。
3、Ⅳ型EDS合并妊娠的处理:由于Ⅳ型EDS患者结缔组织、胶原纤维含量少,组织脆弱,经阴道分娩时易发生软产道裂伤,手术修补困难,出血难以控制,多数医师不赞成其白然分娩。Ⅳ型EDS患者每次妊娠的死亡炽风险为20%。大多数死亡发生在围产期,并且多与阴道分娩有关。`据此,有文献建议,Ⅳ型EDS患者不宜妊娠,如果一臣妊娠建议及时终止妊娠,孕16周前终止妊娠已证实没有明显并发症。如果患者选择继续妊娠,在孕晚期应住院严密监测。文献报道的成功处理Ⅳ型EDS患者妊娠的经验包括:限制活动、孕32周后完全卧床休息,分娩前改善凝血功能,孕32周予类固醇激素促胎儿肺成熟后采用选择性剖宫产术终止妊娠。这是 因为:(1)大多数Ⅳ型EDS合并妊娠的患者白然临产发生在妊娠32~35周;(2)母体ln⒈容量在孕32周达到峰值;(3)剖宫产减少了母体与阴道分娩有关的心输出量和血压的波动,从而减少了动脉破裂的风险。然而,剖宫产术本身可能增加了围手术期出血的风险,手术瘢痕愈合不良、裂开的风险增加。 因为本病为常染色体显性遗传,遗传给胎儿的风险为50%。由于未足月的胎膜早破、早产的风险增加,新生儿多为小于胎龄儿,且可能发生疝或关节脱位。由于母亲血管或子宫破裂、脐带脆弱受压或胎儿骨骼肌肉的发育异常(如扁平足、马蹄内翻足、羊膜带等),新生儿常预后不良。婴儿低肌张力综合征是其严重的并发症,发生于13%遗传有EDS的新生儿中。本例患者分娩的新生儿现随访7个多月龄,皮肤弹性差出现皱褶,四肢肌张力低,关节过伸,不排除遗传EDS的可能,应密切随访观察,尤其应注意血管并发症的发生。
妇产科在线APP下载







