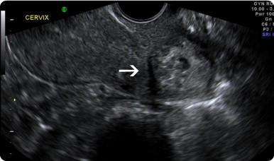
患者,女,年龄36岁,通过宫内受精而怀孕,因被检查出宫颈异位妊娠而被转至本院。当地医院在该患者妊娠6周零6天时查出异位妊娠,在其妊娠7周时给予单剂甲氨蝶呤50 mg/m2肌内注射,妊娠9周时再次给药。然而这2次治疗均未能解决异位妊娠。该患者在妊娠11周零1天时来到本院接受进一步治疗。当时,她的人绒毛膜促性腺激素(hCG)水平为26,861 IU/L。该患者否认任何阴道出血或疼痛。 结论 超声影像显示,异位妊娠位于宫颈基质后部(见图1)。值得注意的是,胎儿颈背部皱褶厚度为2.3 mm。该患者在入院当天接受了子宫动脉栓塞术;次日,在手术室对进展期异位妊娠进行根除治疗。通过阴道窥镜发现,宫颈后方有1处缺损伴胎膜脱垂(见图2)。吸出8 ml羊水,送往实验室进行细胞学分析。然后将1枚细针插入胎儿胸腔,向胎心内注射氯化钾以确保胎儿死亡。在胎儿心搏停止后将细针从胎儿体内撤出,向羊膜腔内缓慢注入甲氨蝶呤80 mg。整个手术过程在动态超声引导下进行。 

图2. 宫颈后方可见缺损伴胎膜脱垂(黑箭头)。
该患者留院观察11天。在此期间,她有少量阴道出血,血清β-hCG水平持续下降,超声检查显示宫颈异位妊娠囊逐渐缩小(见图3)。术后1个月时,超声检查显示宫颈基质无残留组织,hCG水平已降至5 IU/L以下。术后2个月时,该患者恢复正常月经,一般情况良好。对胎心内注射氯化钾之前获得的羊水行细胞学分析,结果显示染色体组正常。

图3. 直接向宫颈异位妊娠囊内输注甲氨蝶呤后1周时的超声影像,显示异位妊娠缩小(白箭头)。
妇产科在线APP下载







