耿京,北京大学人民医院妇产科副主任医师。从事妇产科临床工作多年,2000年开始从事妇科超声工作。研究方向主要是妇科恶性肿瘤、盆底疾病的诊断,同时开展弹性超声检查以及超声造影检查。2007年开始进行盆底超声工作,有较丰富的盆底疾病超声诊断经验 。

妇产科在线:耿教授您好,非常感谢您接受妇产科在线的采访。人民医院盆底诊疗中心自成立以来,为促进我国女性盆底疾病诊治工作的不断发展、力争步入国际领先水平起到了重要的推动作用,您在该中心工作多年,有着丰富的临床经验,请您谈一谈盆底超声的发展情况。
耿京教授:盆底功能障碍性疾病主要包括盆腔脏器脱垂以及压力性尿失禁,这些疾病多发生在中老年妇女,严重影响生活质量。过去人们对盆底疾病不重视,羞于开口,不愿意看病,现在生活水平提高了,对疾病有了更多的认识,就诊盆底疾病的患者越来越多了。人民医院妇科有着以王建六主任和杨欣主任为带头人的盆底疾病的专家,还建立了盆底诊疗中心,近几年我院盆底疾病的患者每年都成倍增长,对盆底疾病的检查手段要求也越来越高,尽量要在手术前给予明确诊断以便选择合适的手术方式。盆底超声近几年在国内受到了同行们的广泛关注,上海、广州、深圳等多家医院开展盆底超声,做了很多工作,对我们开展盆底超声工作给予了很多启发和帮助。
盆底功能障碍性疾病的影像学检查方法主要包括:超声检查、磁共振检查、计算机断层扫描(CT)、膀胱尿道造影以及超声尿动力学检查,目前应用比较广泛的是MRI及盆底超声。盆底超声检查的优势是无辐射、无创伤,无造影剂引起的感染、过敏,经济、快捷,可重复性。在指导患者正确完成缩肛及Valsalva动作同时可以动态观察盆底的变化。
特别是随着三维、四维超声成像的发展,使盆底超声更加动态和立体化。所谓四维成像就是动态三维成像,能够对整个盆底建立非常好的三维容积断层图像,与MRI图像有很好的一致性。另外,盆底超声另一大优势是对盆底手术后效果与患者术后恢复情况追踪,盆底手术后的补片及吊带,在MRI下不能显示,而在盆底超声下可较清晰显示。吊带放置位置是否合适,补片位置大小,有无折叠,挛缩及侵蚀等并发症出现,术后有无压力性尿失禁及盆腔脏器脱垂的复发都可以通过盆底超声进行评估。因此盆底超声检查是盆底手术病例术前必备的检查,也是术后随访的唯一影像学手段。
我开始接触盆底超声是在2007年做研究生课题,当时对盆底解剖与盆底超声关系还有些模糊。在不断学习与探索中进步,尤其在我院盆底中心召开北京大学女性盆底重建与微创手术研讨会上,特别邀请了澳大利亚著名盆底超声专家Dietz教授来我院讲课并演示病人,讲解如何操作及诊断,使我受益匪浅,在之后的盆底超声工作中信心与诊断技术均得到了提高,目前能熟练的掌握盆底超声诊断技术,在我院盆底功能障碍性疾病的患者术前及术后均进行盆底超声检查,为临床提供了很多有用的信息。
妇产科在线:超声以其无创性、可重复性、无射线照射和费用低廉等优点被广泛用于临床诊断和治疗后的疗效评估,请您和大家谈一谈,在人民医院盆底中心,超声发挥了哪些作用,其临床价值是什么,有没有比较典型的病例可以和大家分享一下?
耿京教授:目前盆底超声主要用于与尿失禁及盆腔脏器脱垂相关的所有患者,妊娠分娩后盆底功能的评估,以及盆底肿物的检查。那我就简单说一下,盆底超声到底能看到什么以及评估什么。
二维盆底超声主要是通过看到耻骨联合、尿道、膀胱、阴道、宫颈、直肠壶腹及肛管来评估盆底各脏器位置、功能,有无脱垂,在静息状态下测量残余尿量、逼尿肌厚度、尿道长度以及观察尿道括约肌形态,在静息及用力(Valsalva)状态下测量膀胱颈移动度,尿道旋转角度,膀胱后角角度,膀胱颈是否呈漏斗状,这些指标主要用于协助评估膀胱过度活动及压力性尿失禁,对于盆腔脏器脱垂患者在Valsalva动作时通过测量膀胱、宫颈、直肠壶腹与耻骨联合的距离来评估盆腔脏器脱垂程度。
三维/四维盆底超声可以提示盆膈裂孔形态及大小变化,缩肛状态下评估双侧肛提肌有无损伤以及肛门括约肌的完整性,在Valsalva状态下测量盆膈裂孔面积,为盆腔脏器脱垂提供有用的信息,特别是肛提肌的损伤以及盆膈裂孔面积,有文献报道对于盆膈裂孔面积明显增大(>35cm2)且有肛提肌损伤的患者,其术后复发率增高。盆底超声对于产后患者的盆底损伤的预测有很大帮助,能够早期发现潜在压力性尿失禁、肛提肌的损伤以及肛门括约肌的损伤,并能及早告知加强锻炼预防盆底功能障碍性疾病的发生。最近有1例年轻患者,35岁,已顺产两胎,产后2年发现盆腔脏器脱垂,妇科检查时子宫脱出至阴道外,盆底超声检查,右侧肛提肌损伤,盆膈裂孔面积29平方厘米,提示单纯子宫脱垂,无阴道前后壁膨出。此患者如果产后能够超声及早发现盆底损伤,尽早锻炼可能会延缓发病年龄。
另外盆底超声还能发现一些阴道与尿道、阴道与直肠之间的盆底肿物,同时协助临床判断肿物来源。两天前,有个74岁老年女性,因自觉阴道脱出物10个月就诊,临床诊断为子宫脱垂伴膀胱膨出,来做盆底超声,检查过程中发现尿道左侧与阴道之间有一形态不规则的实性肿物大小约2cm,与尿道关系密切,告知临床医生后,在盆底手术时将尿道旁肿物一并切除,由于准备充分没有损伤尿道,手术顺利。
对于盆底术后患者,盆底超声的优势明显,可以帮助评估预后,对于失败病例协助寻找失败原因。例如,压力性尿失禁术后排尿障碍,通过盆底超声可以看到吊带位置,是否过高过紧,需要调整,还有的患者术后尿失禁无缓解,通过超声发现吊带过低过松,不能起到相应的作用,国外文献报道,超声下吊带位置最好是在中段及近段尿道,在膀胱颈位置及远段尿道的吊带术后复发率相对高。盆腔脏器脱垂患者术后补片的位置、形状、大小、有无折叠、侵蚀等都是通过盆底超声可以看到的。但是盆底超声也有一定的局限性,例如患者不会做缩肛及Valsalva动作,不能得到更加准确的数据来评估,还有就是对于脱垂严重的患者,已经完全脱出至阴道外了,超声探头不能完全覆盖盆底,也会影响盆底超声的结果,不能真实的反应脱垂程度,因此盆底超声检查不能取代临床评估,只是为临床诊断提供额外信息。
妇产科在线:规范的盆底超声检查方法对于诊断具有重要意义,而基层医院设备、技术都相对落后,检查方面规范性相对较差,您长期从事妇产科的超声诊断,请您谈一谈基层医院的医生们在对盆底功能障碍患者进行扫查时应注意的要点是什么?
耿京教授:规范的超声检查方法非常重要,只有规范才能得到准确数值分析结果。盆底超声检查的操作并不困难,患者要尽量排空膀胱及肠道,取仰卧位,在会阴部进行操作,在静息及用力(Valsalva)状态下测量相关数据,一定让患者按医生指令把动作做到家。在做的过程中平面的选择及三维图像的后处理非常关键。选择三维腹部探头接触面积大,好固定。如果无三维超声,二维超声也可以帮助诊断。
妇产科在线:您在工作同时开展了妇科超声造影及弹性超声检查技术,请您简要介绍一下目前的进展情况?新型超声新技术对于盆底功能障碍性疾病有什么临床价值?
耿京教授:超声造影是个比较成熟的技术了,我们主要用于妇科良恶性肿瘤的鉴别诊断。弹性超声成像技术是探测组织硬度变化的一个新技术新领域,主要包括助力式以及声力式弹性成像,助力式弹性成像通过组织颜色改变来评估其硬度变化,而声力式弹性成像是通过声触诊组织量化技术测定局部组织VTQ数值,以评估其硬度变化,之前我们已经将此技术用于子宫肌瘤及宫颈癌的评估诊断。现在我正在尝试用于尿失禁患者的尿道括约肌弹性成像研究,初步研究结果显示压力性尿失禁患者尿道括约肌的硬度较同年龄组无压力性尿失禁患者明显增加,且有统计学差异。这说明压力性尿失禁与尿道括约肌的弹性改变有关。现在还在进一步研究中。
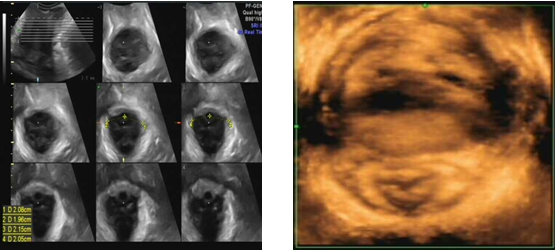
最后与大家分享一些我们的超声对比图片:

经会阴二维盆底超声检查:S:耻骨联合,U:尿道,V:阴道,UT:子宫,A:肛管,R:直肠壶腹,L:肛提肌

MRI图与正常盆底三维图像

肛门括约肌完整(左图)
产后10年,肛门括约肌损伤(右图)

双侧提肛肌完整(左图)
双侧提肛肌损伤(右图)

补片术后失败,膀胱膨出

吊带术后
声明:本文为“妇产科在线”原创文章,版权归“妇产科在线”所有,欢迎转载,但请务必注明出处,否则将追究法律责任。
妇产科在线APP下载








