无心畸胎序列征(acardiac twins sequence)又称双胎动脉反向灌注综合征、无心畸形、无头畸形、假心脏畸形、无头无心畸形。无心畸胎序列征是单卵双胎的独特并发症。正常胎儿被称为“泵”血胎儿,为自己和无心胎儿提供血液循环,无心胎儿为受血儿,受血儿为无心畸形或仅有心脏痕迹或为无功能的心脏。
【一般资料】
孕妇,26岁。一月前在当地医院超声检查示:双胎妊娠,其中一胎存活(BPD:2.6cm,PL:0.9cm),另一胎死胎并颈部淋巴水囊瘤(BPD:1.9cm,PL:0.9cm)。
【超声诊断】
双胎中期妊娠:一胎儿发育未见明显异常,另一胎儿无心畸形并全身皮肤高度水肿。
【诊断】
无心畸胎序列征
【处理】
中止妊娠
【病例图片示】
是双胎,其中畸形的那个明显没有上半身及头部,只有下半身和一点点短小的左上肢。
【无心畸胎序列征相关知识】
【无心畸胎序列征诊断依据】
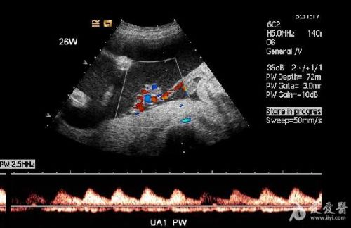
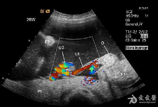
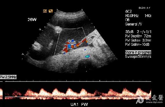
1.CDFI未见异常胎儿心脏显示,但胎体内可见血液流动。
2.无心畸胎的脐带为单脐动脉,PW显示为入胎动脉血流,其血流频谱所显示的心率、心律与正常胎儿的心率、心律完全一致。但其脐动脉的阻力指数明显低于正常胎儿。说明异常胎儿的血供完全来自于正常胎儿心脏的“泵”。
3.无心畸胎在一月之内胎体增长迅速,明显超过正常胎儿,并伴发颈部水囊瘤及全身皮肤高度水肿。
【鉴别诊断】
本例无心畸胎序列征一月前外院诊断为双胎之一死胎,因此两者要注意鉴别。
【无心畸胎序列征超声表现】
1、双胎中一胎形态、结构发育正常,另一胎出现严重畸形,以上部身体严重畸形为主,可有下部身体如双下肢等结构。
2、无心畸胎形体内常无心脏及心脏搏动,如果无心畸形存在残腔或心脏遗迹,可有微弱的搏动。
3、上部身体严重畸形,可表现为无头、无双上肢、胸腔发育极差。
4、部分无心畸胎上部身体结构难辨,仅表现为一不规则实质性团块组织回声,内部无内脏器官结构。
5、无心畸胎常有广泛的皮下水肿声像改变,在上部身体常有明显的水囊瘤。
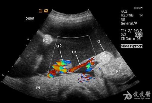
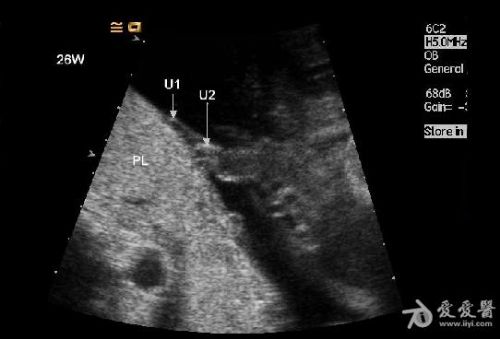
6、频谱及彩色多普勒血流显像可显示无心畸胎脐动脉及脐静脉内血流方向与正常胎儿相反,无心畸胎脐动脉血流从胎盘流向胎儿髂内动脉达胎儿全身,脐静脉血流从胎儿脐部流向胎盘,正好与正常胎儿脐动脉、脐静脉血流方向相反。
【无心畸胎序列征鉴别要点】
1.无心畸胎序列征CDFI可显示胎体内有血液流动,其脐带内有血流信号。而死胎胎体及脐带内无血流显示。
2.无心畸胎序列征的胎体随孕周的增加而增长迅速,而死胎胎体逐渐萎缩。
【无心畸胎序列征病因】
无心畸胎序列的病因不明,已被广泛接受的假说是“血管反向灌注理论”。双胎之间的血管交通极为复杂,存在动脉-动脉异常吻合。无心畸胎序列在胚胎发育早期,大血管吻合导致两个胎儿间血液循环的相互竞争。当一个胎儿的动脉压超过另一个时,一胎的反向血循环使另一胎的器官形成中断和减少,最终导致无心畸形。受血胎儿与胎盘之间缺乏直接的血管交通,血液直接通过单脐动脉流入并经脐静脉流出。双胎动脉反向灌注的结果是:身体下部通过髂内动脉接受氧合较好的静脉血,而身体上部发生最严重的畸形。
【超声检查无心畸胎序列征的临床意义】
超声可定期监测胎儿生长情况和血管状态,监测羊水量及“泵”血胎儿是否存在水肿、心力衰竭、无心胎儿脐带有无血流信号等,“泵”血胎儿出现充血性心力衰竭是预后不良的标志。超声监测对临床采取保守治疗、姑息治疗、介入治疗等有指导意义。
【讨论】
无心畸胎序列征(acardiac twins sequence),也叫双胎反向动脉灌注序列征(twins reversed-artery perfusion sequence, TRAP);其特点是:双胎中一胎发育良好,而另一胎心脏不发育或发育不良,同时伴有其他多种严重畸形表现,并能作为受血儿通过异常的动脉-动脉吻合以接受发育良好的胎儿(泵血儿)的血供以继续生长。
日常工作中,对于那些怀疑双胎一胎死亡者,尤其是死胎伴有水肿和/或严重畸形,如无头、露脑等时,需与无心畸胎鉴别。其鉴别要点是:在超声检查中发现双胎中的“死胎”有胎动,或者彩色多普勒检查发现“死胎”中有血流,或者在系列的多次检查中发现“死胎”在继续生长时,应怀疑此情况
妇产科在线APP下载















