较长的第二产程持续时间与围产儿发病率及病死率以及产妇产后大出血的发病率增高有关[1-2]。第二产程胎儿宫内窘迫,是导致新生儿Apgar评分降低的直接原因,也是影响儿童智力的一个重要因素。严密观察第二产程,积极处理和预防产程延长的原因有助于改善母婴预后。目前广泛为临床所接受的第二产程监测方法是产程图。通过阴道指检判断胎头下降的程度以及胎方位。但是,阴道指检主要依赖于检查者的主观判断,对检查者的经验要求较高,并且存在医源性感染的潜在风险。Barbera 等人[3]的报道了经会阴/阴唇超声,描述了耻骨联合及胎儿颅骨先露部的角度(进展角)可用于预测产程进展,预测哪些产妇可经阴道分娩哪些有剖宫产指证,进展角≥120。。与经阴道自然分娩相关联。Wolfgang等人[4]专注于第二产程使用经会阴探头定位母体及胎儿标记的研究。提出胎头方向角为耻骨下线与胎头最大径垂线的夹角。使用此方法,可确定三型胎头方向:胎头向下,水平及上扬,当颅骨最大径越过耻骨下线(接近或越过棘间平面),特别是胎头上扬时,有极大可能经阴道分娩。
GE公司的SonoVCAD labor技术是基于三维容积超声的计算机辅助产程监测软件。利用三维超声多平面成像技术,可同时显示相交平面,增加了更多信息,使得测量的切面更为准确,重复性佳[5]。软件可在三维容积数据的不同平面自动测量出相应的胎头方向角(图1)、胎头进展角(图2)、胎头下降距离(图3)及中线角(图4)这四个参数,并在产程中动态观察各参数的变化,利用软件记录产程的全过程(图5),从而监测第二产程进展。
我们采用GE公司的Voluson i便携式超声仪器,对38例经阴道试产,进行了三维超声第二产程监测。从产妇进入第二产程后即开始监测,直至胎头着冠。每间隔15-20分钟在宫缩间歇期进行超声检查。利用SonoVCAD软件对所有图像进行测量,分别由两位医生对数据进行2次重复测量,在同一观察者间及不同观察者间各组测量数据均具有较好的重复性,其中胎头方向角的重复性较进展角佳。在本研究中,有4位产妇进行了产钳助产,其余35位均经阴道自然分娩。产钳助产组中有3例胎头下降距离明显小于自然分娩组,1例胎头助产前抬头进展角小于120。。此外,在正常分娩组中的1例,多次观察胎头中线角为40。,经由助产士徒手旋转胎头后顺利自然分娩。
我们相信三维超声产程监测技术,能帮助助产士及产科医生更为客观及有效的监测第二产程进展,及时发现胎头下降异常,准确评估胎方位,进行及时合理的阴道助产,降低第二产程延长对母婴的不良预后的发生率。

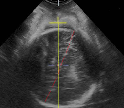
图1.在 A 平面, 描记胎头最大经线,从胎头中间点向外拉线,十字交叉点落在胎头轮廓的最远点,并与胎头最大经线垂直。胎头方向角就是耻骨联合下缘垂线和与胎儿颅脑最宽径的垂直线的夹角。
图2. 在A平面,从耻骨联合到胎头边缘画一条切线,胎头进展角为这条切线和耻骨联合中间部分的水平线的夹角

图3. 在A平面,点击胎头颅骨边界及先露的最外缘,胎头下降距离为从耻骨联合为起点到先露最外缘下降距离

图4.在B平面上描记胎头的中线,中线角为胎头中线与耻骨联合下缘垂线的夹角


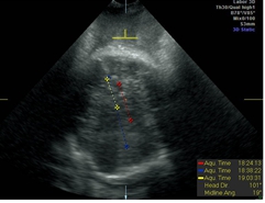
图5.利用SonoVCAD?labor 产程监测软件记录整个分娩过程中各参数的变化。
参考文献
1.滑秀云,户亚光,尚俊伟,等.第二产程时间与母儿结局关系的临床分析。西南军医,2009,11(2):294~295.
2. 吴关琴 方 磊 沈 波216例第二产程延长母婴结局临床研究
3. Barbera A, Pombar X, Perugino G, etal. A new method to assess fetal head descent in labor with transperineal ultrasound. Ultrasound Obstet Gynecol 2009; 33: 313–319.
4. Henrich W, Dudenhausen J, Fuchs I, etal.Intrapartum translabial ultrasound (ITU): sonographic landmarksand correlation with successful vacuum extraction.Ultrasound Obstet Gynecol 2006; 28: 753–760.
5. Ghi T, Contro E, Farina A,,etal. Three-dimensional ultrasound in monitoring progression
of labor: a reproducibility study.Ultrasound Obstet Gynecol 2010; 36: 500–506
妇产科在线APP下载







