【编者按】风靡欧美的菲蜜丽激光是以色列全球最大的激光公司——Alma飞顿激光公司研制出的一种新型的二氧化碳激光技术,主要适用于女性压力性尿失禁、阴道收紧、GSM及部分外阴硬化性苔藓的治疗。在刚刚结束的5月28日广州“关爱女性大健康”学术研讨会上,来自以色列Sheba医疗中心的 Menachem Alcalay教授讲解了《Laser CO2(Femilift)菲蜜丽激光在妇科中的应用》,Menachem Alcalay教授讲到:菲蜜丽激光是一种疗效确定,非常安全的治疗方案,同时也需要妇科医生做更多的研究、探讨激光在妇科中的更多应用及获得更多的数据以观察远期疗效。妇产科在线根据讲课内容进行了整理,供大家学习参考。
现场讲座视频:
讲座内容文字版
激光(laser)来源于Light Amplification by Stimulated Emission of Radiation,是用于人体组织年轻化最常用的介质。CO2激光在妇科女性生殖系统的应用包括:1、压力性尿失禁;2、绝经期生殖泌尿综合征(GSM);3、外阴硬化性苔藓;4、阴道松弛。

菲蜜丽激光是以色列全球最大的激光公司——Alma飞顿激光公司研制出的一种新型的二氧化碳激光技术,利用HP热像素技术作用于黏膜和黏膜下层,产生微剥脱和热损伤。HP热像素技术是针对于粘膜组织而独立研发出的激光技术,通过飞顿所特有的复眼微聚焦镜头,获得81束能量均匀的微光斑,根据粘膜含水量及组织特点,每束微光斑的脉宽延长,进而产生足够深的热作用,而表面的微剥脱很轻微,引起组织再生、重塑,同时没有任何副反应风险,很好的兼顾了粘膜盲视治疗的安全性和有效性。

菲蜜丽激光设备有一个特殊的直角测出光探头,采用一次性无菌激光套管单人单次使用,患者非常安全。
菲蜜丽激光的作用机制:
1、血管再生;2、改善微循环,改善微脉管系统;3、提高组织含氧量;4、润滑、敏感度。菲蜜丽激光治疗可以使外阴阴道粘膜全面年轻化,恢复阴道正常PH值和微生物菌群。使阴道胶原组织重塑,更加紧致,需要的是激光的热效应而不是剥脱效应。热效应的目的是热作用于真皮上(粘膜组织),促进胶原再生。
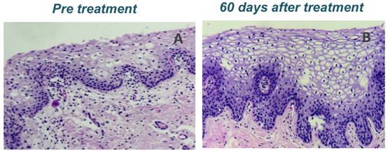
当我们分娩、老化时这层结构会发生变化,胶原组织老化,排列不规则,使用激光进行局部照射时,胶原组织会发生重塑:1、急性热损伤期(照射后48-72小时):出现水肿,释放化学介质,胶原收缩;2、增殖期(72小时-3个月):成纤维细胞聚集,真皮基质再生,胶原纤维再生;3、重塑期(3-6个月):炎性侵润消退,胶原纤维成熟,胶原纤维增强,弹性纤维再生。这种反应需要几周或者几个月时间,最后达到我们需要的效果。
压力性尿失禁(SUI)
在女性尿失禁中最常见的类型是SUI,不利于女性的身心健康。近几年,从欧洲或美国相关的协会取得的数据表明,应用于压力性尿失禁治疗的费用逐年上升。调查表明,绝大多数尿失禁的女性病人,都愿意选择创伤很轻微的治疗方案,期待的治疗结果是改善生活质量。只有少出患者接受创伤大的治疗方案。治疗压力性尿失禁的方案梯度:盆底肌肉锻炼——生活方式改变——子宫托——机器装置——Surgery手术。现在,除了这些治疗方法,妇产科医生有一个新的选择——Laser CO2(Femilift)菲蜜丽激光。临床研究及使用证明,这种方法安全有效,是可以结合盆底肌训练时早期应用的治疗方法。
多中心临床研究:目的是回顾性分析经阴道二氧化碳激光治疗压力性尿失禁患者的膀胱和阴道症状。在希腊和以色列两个诊所进行,病人主诉为压力性尿失禁,菲蜜丽激光治疗2-3次,在病人最后一次治疗的3-13个月进行随访,对比治疗前和治疗后症状。两个中心一共入组人数是56人,平均年龄48岁,其中绝大部分是压力性尿失禁,一小部分人是混合性尿失禁,除了漏尿症状外,还有尿频尿急等综合症状表现。对于每个症状做了0-10分的分级,根据治疗前后评分的变化进行统计。研究结果显示尿频尿急遗尿症状均呈现显著改变,病人满意度很高,在70-80%左右,并且所有患者在治疗前后阴道干涩和性较困难的症状有明显改善。结论:菲蜜丽激光治疗女性压力性尿失禁非常安全,没有副反应记录,治疗过程无需麻醉,有压力性尿失禁患者困扰的女性在日常尿垫使用方面得到满意的结果,66.1%的患者主观评价得到满意的疗效。
现在正在进行一项菲蜜丽激光SUI前瞻性调查研究,评估蜜丽激光用于女性SUI治疗的安全性和有效性、评估蜜丽激光的特异性和受试者的总体满意度。患者随访时间为1年,包括病人性生活和尿失禁的改善情况,并增加了一些客观数据的研究,包括漏尿量的测定及阴道组织学活检。一项来自意大利的临床研究,利用ICIQ的测评方法,最后得出结论,用蜜丽激光治疗SUI具有显著的差异。一项来自阿根廷的报道也能证明蜜丽激光治疗尿失禁的效果非常好,30例尿失禁患者60%治愈。40%改善,POP≧2分,改善率在30%,71%急迫性尿失禁病人得到改善。另一项研究数据显示,蜜丽激光治疗SUI,治疗有效率达82%。以上研究均可表明,蜜丽激光治疗SUI有效率可达60-80%以上。
绝经期生殖泌尿综合征
北美绝经协会(NAMS)和国际女性性健康研究协会(ISSWSH)的代表提出的一个新名称,绝经期生殖泌尿综合征(GSM),该综合征的特点是与卵巢激素水平下降有关的阴道干涩、性较困难、疼痛、尿失禁、反复尿路感染。菲蜜丽激光对于GSM治疗是非常有效的。菲蜜丽激光治疗GSM安全性有效性研究显示,27例GSM病人进行菲蜜丽激光治疗,96%患者满意或非常满意治疗效果。

外阴硬化性苔藓
外阴硬化性苔藓是一种罕见的皮肤病,通常通过外用糖皮质激素维持缓解症状,如果不及时治疗,可导致外阴结构的破坏,甚至少数发生磷状细胞癌(SCC)。尽管外用大剂量的糖皮质激素治疗,但依然得不到很好的改善。有研究报道菲蜜丽激光用于顽固性外阴硬化性苔藓治疗,在7名其他治疗耐受的VLS无效的患者中,6名难治性VLS经菲蜜丽激光治疗后症状消失;5例VLS患者中3例经过一次菲蜜丽激光治疗就改善非常好,2例经过多次治疗达到很好的改善。治疗后,所有患者都能达到与局部糖皮质激素治疗同等好的疗效。截止到目前为止,患者在6个月-4年的随访期间仍保持良好。因此,对于外阴硬化性苔藓患者对糖皮质激素反馈不好,可应用菲蜜丽激光治疗。

阴道紧缩
阴道分娩和衰老过程引起女性性功能障碍,与之相关的是阴道和外因松弛 。衰老的不美观的外阴也会引起心理方面的问题,导致不自信。阴道松弛很少被报道,尽管女性认为这样已经严重的影响了她们的夫妻关系。目前,应用菲蜜丽激光阴道收紧是一种比较流行的治疗手段。CO2激光通过剥脱和热效应产生胶原蛋白新生和收缩,呈现组织重构和阴道收紧效果。
2013-2014年激光年轻化治疗量增长了48.6%,55.1%的患者年龄在19-34岁,由此可以看出,在欧洲,这种需求很明显。从过去两年菲蜜丽激光治疗的临床结果上看,对以下适应症有好的疗效:女性压力性尿失禁、阴道收紧、GSM及部分外阴硬化性苔藓。菲蜜丽激光是一种疗效确定,非常安全的治疗方案,是现有临床治疗手段的有效补充。

MENACHEM ALCALAY M.D.
以色列Sheba医学中心和Pade茯苓医学中心妇科泌尿主管
以色列妇科泌尿学协会的创始人
美国贝勒医学院(休斯敦,德克萨斯州)博士
NBC(核、生物、化学)国防医学科上尉
发表学术论文40余篇
Menachem是以色列Sheba医疗中心妇科主管,带领妇科120多名妇科专家进行临床及科研工作,取得巨大成就!
妇产科在线APP下载







