患者罗某,女性,27岁,
主诉:反复左下腹胀痛6年,加重1周。
现病史:患者自6年前左下腹胀痛(经前,经期,经后),2022年曾就诊南大一附院,B超提示输卵管炎,予以金刚藤药物治疗,自觉腹痛无改善。2023年5月24日因经期延长,就诊南大一附院,性激素六项提示PRL:103 ng/ml,完善头颅RI未见垂体异常(未见单),予以溴隐亭片口服治疗,1片QD。此次月经6月20日来潮,自经期来潮下腹阵痛,持续8天。自觉近3-4月经量减少。7月9日就诊南大一附院,B超提示左输卵管炎,建议予以药物治疗。患者自觉无效。
既往史:幼时因扁桃体肿大行扁桃体切除术,2017年因乳腺纤维瘤于南昌市第三医院行手术治疗,术后病理提示良性。2019年因处女膜增生于我院行手术治疗。否认食物,药物过敏史。
月经史:患者平素月经欠规则,15岁初潮,经型6-12/30天,量中等,色暗红,有痛经,末次月经2023年6月20日。
婚育史:未婚,否认性生活。
查体:外阴:未婚未产式、皮肤粘膜正常。阴毛呈女性分布。阴道:未查。宫颈:未查。宫体:未查.附件:(肛诊)左附件探及一大小约3cm包块,轻压痛,质中,固定,右附件未探及异常。
实验室检查:
1.血常规:红细胞:4*1012/L;血红蛋白:125.00 g/L;白细胞:4.65*109/L C-反应蛋白0.07
2、CA125:19.57 u/ml,PRL:26.36 ng/ml
影像学检查:
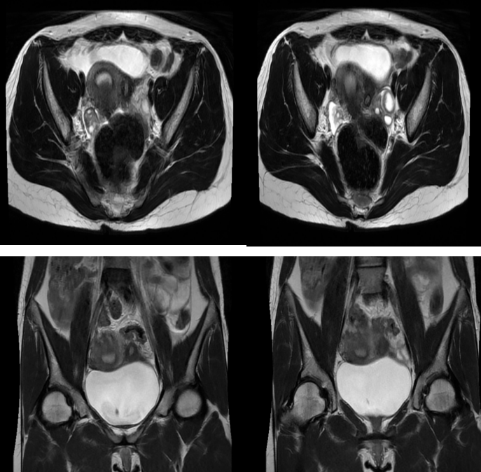
1、2023-7-10腹部彩超提示:子宫左侧不均质低回声(子宫附腔?不排外其他可能,建议进一步检查),盆腔积液,检查所见:子宫前位宫体大小47 mm*45 mm*38 mm,肌层回声均匀,宫内膜厚8 mm,子宫左侧见33 mm*15 mm*14 mm不均质低回声,似与子宫左侧浆膜层相连,内见液暗大小约8 mm*4 mm,透声差。CDFI见点状血流。左卵巢28 mm*25 mm*23 mm右卵巢25 mm*22 mm*19 mm子宫直肠窝见43 mm*13 mm的液性暗区。
2、2023-07-11MRI示:1、子宫左侧壁异常包块,考虑子宫副腔畸形可能性大,请结合临床。2、左侧卵巢黄体囊肿;宫颈纳氏囊肿。3、盆腔少许积液。4、盆腔内未见明显肿大淋巴结。

3、2023-07-11泌尿系超声示:双肾、双输尿管、膀胱未见异常。
诊断:1、子宫畸形:子宫附腔?;2、高泌乳素血症
治疗目标:恢复解剖、提高生命质量和生育力保护。
治疗原则:为完全切除附腔内膜,尽可能保留正常的子宫肌层。推荐行腹腔镜子宫附腔切除术,手术创伤小,恢复快。
手术时机:附腔积血较多或疼痛症状明显的患者,可在月经周期的任何时间进行手术,建议经期手术。7-14日行腹腔镜下子宫附腔切除术。
术后管理:不需要进一步的药物辅助治疗,仍需定期随诊。
术后标本:(副宫腔)破碎灰白标本,直径1.5cm,片示为平滑肌组织及宫内膜组织。
术后诊断:1、子宫副腔畸形2、高泌乳素血症。
术后随访:
1:术后3个月、术后1年复查无异常

2025年患者结婚,监测排卵后自然受孕,现孕31周。

心得体会:
1.子宫附腔(accessory cavitated uterine malformation或称accessory cavitated uterine mass,ACUM)是罕见的女性梗阻性生殖道畸形疾病之一。ACUM患者常因严重的周期性或非周期性下腹痛就诊,严重影响患者的生命质量。及时发现ACUM,对于减轻疼痛症状、减少不必要的干预十分重要
2、高度怀疑后应尽早行腹腔镜检查及治疗。
3、术后规范随访:术后3.6月复诊,每年随访。有妊娠需求者,视术中子宫肌层损伤的程度,术后严格避孕半年至1年,妊娠后定期产科检查。
4、妊娠和分娩期间需警惕子宫破裂的风险。

指导专家
艾小燕
中国优生优育协会妇产专业委员会常委
江西省妇幼健康与优生优育协会妇科泌尿盆底专委会 主任委员
江西省医学会妇产科分会盆底学组 副组长
中国医师协会微无创专业委员会单孔腔镜学组 委员
中国妇幼保健协会妇科阴式手术专业委员会 委员
中国中西医结合学会围手术期专业委员会 委员
中国整形协会女性盆底及性功能障碍整复专委会 委员
江西省医学会妇科微无创学分会 常委
江西省保健学会妇科微无创分会 常委
荣获奖项:2014年“全国妇幼健康技能竞赛” 二等奖
2014年荣获“全省妇幼健康技能标兵”称号
2015年获江西省“五一劳动奖章”称号
专业方向:妇科盆底与泌尿、妇科腔镜微创诊治。她始终以患者为中心,深耕妇科微创、妇科盆底泌尿领域,率先在省内开展单孔腹腔镜技术,推动妇科微创手术革新,累计完成高难度手术数千例,帮助众多患者重获健康。她的研究成果获业内广泛认可,多次受邀在省内外学术平台分享经验。

病例提供医生
梅彤
江西省妇幼保健院妇科,主治医师,硕士研究生
中国中医药研究促进会中西医结合流产防治与优生优育分会 委员
江西省预防医学会妇女保健专业委员会 常务委员
江西省医学会妇产科学分会青年学组 委员
江西省医学会加速康复外科分会 委员
江西省妇幼保健与优生优育协会妇科泌尿盆底专业委员会 委会
江西省保健协会微无创分会妇产科分会 委员
主持省厅级课题5项,发表SCI、国家级文章10篇,参与国家级自然基金1项及省自然基金1项
妇产科在线APP下载








