患者,女,42岁。
主诉:左肾积水1年,输尿管盆段占位1个月。
现病史:1年前体检发现左肾积水,未予处理,1个月前复查完善泌尿系增强CTU:左侧输尿管盆段占位病变可能大,以上段泌尿系积液扩张,遂于泌尿外科行左侧输尿管双J管置入,患者平素月经规律,无经期下腹痛,近期饮食睡眠可,二便正常,体重无明显变化。
既往史:已婚,G2P1,顺产,无其他手术史。
查体:外阴阴道正常,阴毛分布呈女性型,大小阴唇无明显赘生物。宫颈光滑,子宫增大约7x5x6cm,活动度差,双附件区厚,活动尚可,压痛(-);直肠光滑,指套无染血。
实验室检查:肿瘤标记物:CA125:17.10U/mL(0-47),CA199:6.48U/mL(0.00-30.00),肾功能:肌酐:91 umol/L(41-73)。
影像学检查:
1.超声:阴式扫查:子宫体增大约6.8×4.7×5.8cm,左卵巢隐约显示,大小约:2.92×1.92cm,右卵巢可见囊性回声,大小约:2.53×2.36cm,经腹扫查:左侧输尿管中段内径约:0.71cm,下段管腔显示不清,阴式扫查左侧输尿管下段内径约:0.14cm,近中段局部管腔显示不清,走行区近中段可见低回声,范围约:0.88×0.35cm,界限欠清,未见明显血流。
2.盆腔增强MRI:右侧附件区可见类圆形长T1长T2信号影,边缘光滑,约2.4*2.0cm,增强扫描未见强化,左侧附件区未见异常信号影,右侧宫底韧带可见条形长T1长T2信号影。
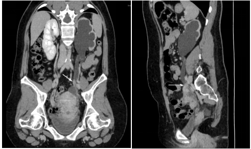
3.泌尿系增强CTU:左侧肾盂输尿管扩张积液,左侧输尿管盆段(S1水平)管腔狭窄,可见软组织密度结节影,平扫CT值约51HU,增强扫描CT值约95HU,边缘毛糙。

泌尿系增强CTU
初步诊断:深部浸润型子宫内膜异位症(左侧输尿管、右侧宫底韧带)、卵巢囊肿(右侧,巧克力囊肿不除外)、肾积水(左侧)、输尿管积水(左侧)、肾功能异常、左侧输尿管支架置入术后。
手术指征:肾积水、输尿管狭窄:考虑深部浸润型子宫内膜异位症侵及输尿管。
生育力:患者无生育要求。
手术目的:切除病灶,解除输尿管梗阻。
手术方式:腹腔镜全子宫及右侧卵巢输卵管切除、左侧输卵管切除、深部浸润型子宫内膜异位症病灶(左侧输尿管表面、双侧宫骶韧带)切除、盆腔粘连松解术。
手术要点:
1.精准评估,明确分型:术前影像科协助评估内异症病灶是外在型(压迫)还是内在型(浸润),决定手术范围。
2.多科协作,充分暴露:妇科与泌尿外科协作,充分游离输尿管,显露病灶全程。
3.彻底切除,保护血供:紧贴病灶精细解剖,完整切除病灶,同时注意保护输尿管血供。
术后管理:构建以“妇科及泌尿外科系统监护+长期个体化综合治疗”为核心的多维随访体系,确保远期疗效。
术中见:子宫体7x5x6cm,表面光滑,活动差。右卵巢生发囊肿直径1.5cm,表面光滑,包膜完整,与右侧阔韧带后叶致密粘连。左卵巢外观正常。双侧输卵管外观正常。左侧输尿管盆腔段(跨髂外血管处)可见深部内异症病灶,范围约1.5x2.5cm,包绕左侧输尿管(其上段输尿管扩张,增粗约2.0cm),双侧宫骶韧带可见深部内异症病灶,左侧范围约1.0x1.5cm,右侧范围约0.8x1.5cm,子宫直肠窝正常。
术后病理: (左侧输尿管表面病灶)(双侧骶韧带):子宫内膜异位症;(子宫):子宫腺肌病;(内膜):子宫内膜息肉;(右卵巢):卵巢良性Brenner瘤;(宫颈)、(颈管)、(左输卵管)、(右输卵管)、(双侧宫骶韧带):未见异常
术后诊断:深部浸润型子宫内膜异位症(左侧输尿管、双侧宫底韧带)、卵巢良性Brenner瘤(右侧)、子宫腺肌病、子宫内膜息肉(单发)、肾积水(左侧)、输尿管积水(左侧)、肾功能异常、左侧输尿管支架置入术后
术后管理:出院后GnRh-a共6针,第3针开始反向添加替勃龙,之后改为地诺孕素口服2—5年,用药期间需每3个月复查,根据雌激素水平调整用药剂量,严密随访,长期管理,术后每3-6个月随访一次;妇科手术术后2个月泌尿外科门诊就诊,决定是否拔除输尿管支架,泌尿外科随访。
心得体会:
1.术前诊断:结合影像学与肾功能检查,对累及输尿管的深部浸润型子宫内膜异位症进行明确诊断及分型。
2.精准切除:根据病变程度选择粘连松解或输尿管区段切除吻合,本例患者保留输尿管核心是术中病灶的精细解剖及精准切除,根据术中情况留置输尿管支架。
3.长期管理:长期药物治疗结合定期复查以预防复发及监测卵巢及肾功能,确保输尿管支架按期拔除。

指导专家简介
张颐,中国医科大学附属第一医院妇科主任、三级教授、主任医师、博士研究生导师、博士后合作导师
美国梅奥诊所(Mayo Clinic)及中国医科大学博士后
“兴辽英才计划”领军医学名家、辽宁青年名医、辽宁省首席科学传播专家
国家卫生健康委手术机器人临床应用管理专家委员会委员
中华医学会肿瘤学分会妇科肿瘤专业委员会副主任委员
中国医师协会妇产科医师分会常务委员
中国医师协会妇产科医师分会宫颈病变学组副组长
中国医师协会医学机器人医师分会常务委员
中国临床肿瘤学会(CSCO)妇科肿瘤专家委员会常务委员
中国抗癌协会宫颈癌专委会常务委员
辽宁医学会微创妇科分会主任委员
辽宁医学会妇科肿瘤分会候任主任委员
中国优生科学协会肿瘤生殖分会副主任委员
《中华肿瘤杂志》通讯编委
于国内外核心杂志发表论文100余篇(第一或通讯作者SCI论文36篇);主持科研课题16项,经费总额300余万,执笔上皮性卵巢癌生化复发诊治中国专家共识(2025年版)、铂耐药复发性卵巢癌诊治中国专家共识(2025年版)等中国专家共识或指南45篇,参与编写NCCN 2022外阴癌(鳞状细胞癌)、卵巢癌诊疗指南(2021-2025)(中国临床肿瘤学会CSCO)、宫颈癌诊治指南2025(中国临床肿瘤学会CSCO)、子宫内膜癌诊治指南2025(中国临床肿瘤学会CSCO)等妇科指南及专家共识52篇。

病例提供医生简介
邓雷,中国医科大学附属第一医院,主治医师,讲师
辽宁省细胞生物学会内异症及生育力保护专业委员会理事
辽宁省免疫学会免疫药物应用与评价分会委员
辽宁省免疫学会女性健康与免疫分会委员
辽宁省妇幼健康协会理事
辽宁省中医药学会妇科专业委员会委员
辽宁省妇幼协会微无创妇科肿瘤专委会委员
作为共同执笔人完成《输卵管积水相关不孕症诊治中国专家共识(2023年版》等中国专家共识5篇。
妇产科在线APP下载








