| 妇幼健康网 妇科微创网 中医妇科网 妇产科感染网 女性盆底网 宫腔镜网 产科网 |

第四届胎儿出生缺陷产前超声诊断及咨询高级课程(2015)
2015年5月8日-10日 上海
负责人:
首都医科大学附属北京妇产医院北京妇幼保健院超声医学科 吴青青 教授
首都医科大学附属北京妇产医院北京妇幼保健院产前诊断中心
第四军医大学西京医院李军 教授
ISUOG 常委,英国伦敦大学St George 医院 Aris Papageorghiou 教授...[详细]
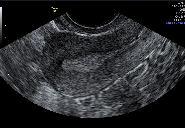
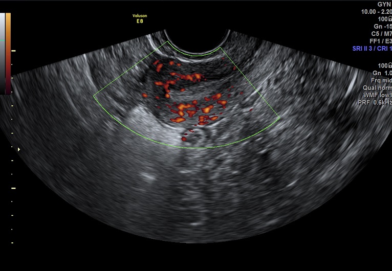
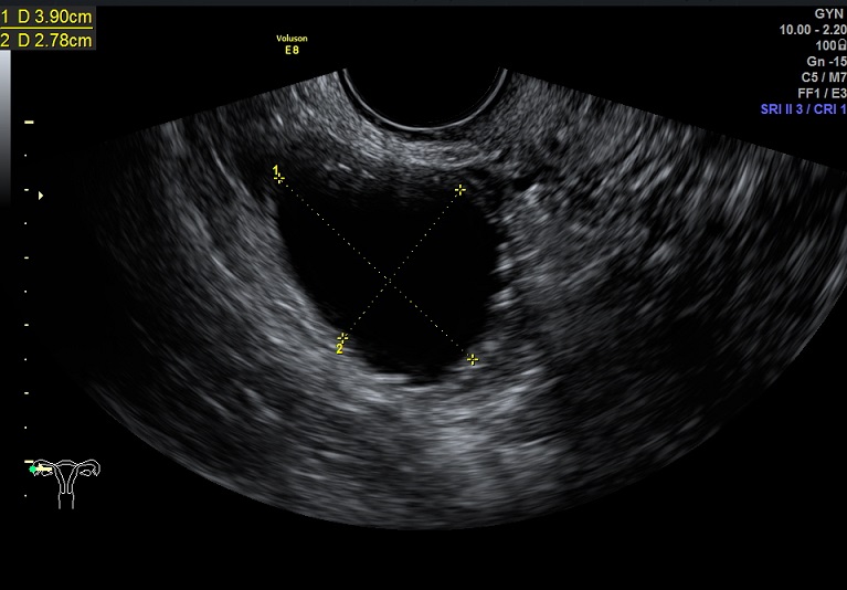
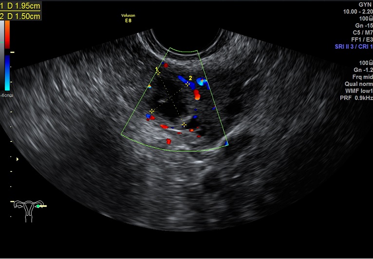
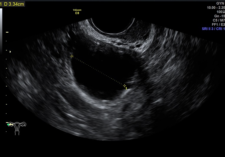
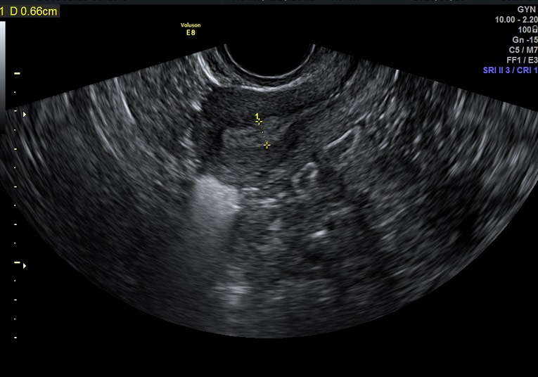
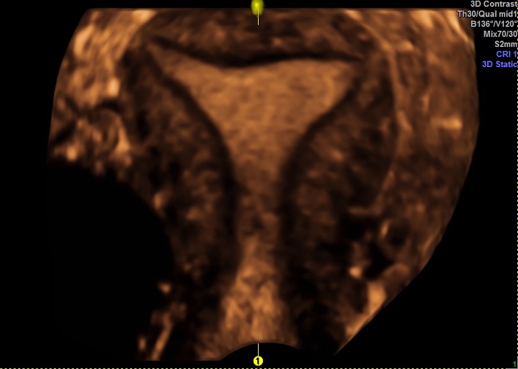
女性,24岁,原发性不孕1年余。
2015-3-10 月经第19天检查
内膜厚0.7cm
内膜血流:2级
内膜波动可见
左卵巢黄体 右卵巢囊性结构
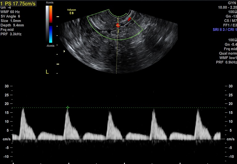
子宫动脉:
L:PSV:16.2cm/s EDV:2.0cm/s RI:0.88 S/D:8.0 PI:3.0,舒张早期血流缺失
R: PSV:33.7cm/s EDV:2.6cm/s RI:0.92 S/D:13.5 PI:3.95,舒张早期血流反向






| 妇产科在线 Copyright © 2010 www.cogonline.com. All Rights Reserved | 企业支持: 网络支持: |