| 妇幼健康网 妇科微创网 中医妇科网 妇产科感染网 女性盆底网 宫腔镜网 产科网 |

第四届胎儿出生缺陷产前超声诊断及咨询高级课程(2015)
2015年5月8日-10日 上海
负责人:
首都医科大学附属北京妇产医院北京妇幼保健院超声医学科 吴青青 教授
首都医科大学附属北京妇产医院北京妇幼保健院产前诊断中心
第四军医大学西京医院李军 教授
ISUOG 常委,英国伦敦大学St George 医院 Aris Papageorghiou 教授...[详细]
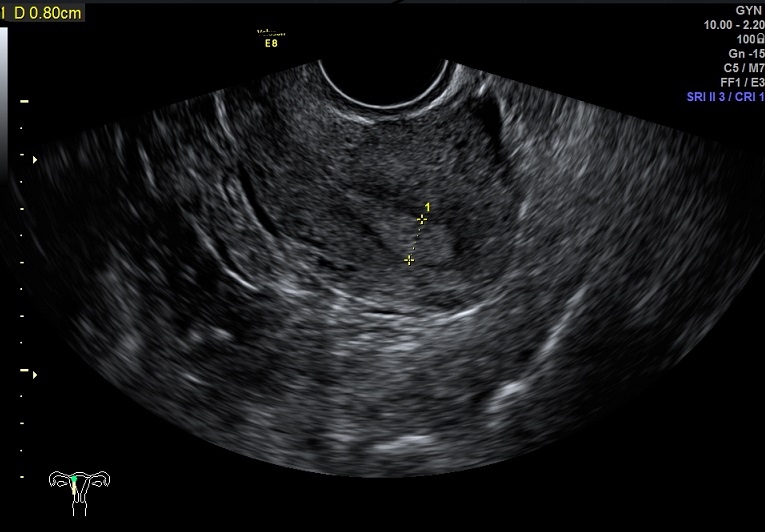
女性,25岁,原发性不孕2年。
2015-1-28 月经第18天检查
内膜厚0.8cm
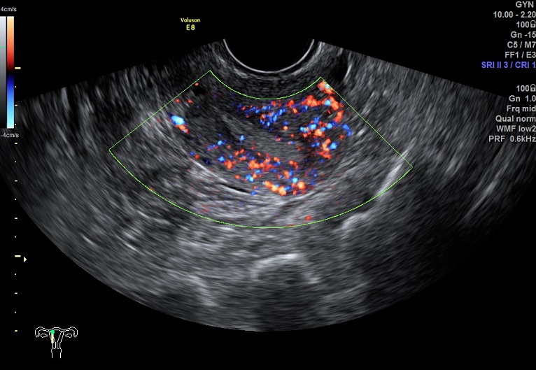
内膜血流:2级
内膜波动不明显
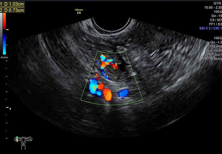
容积:4.0ml
右卵巢黄体
子宫动脉:
L:PSV:34.6cm/s ,舒张早期血流反向
R: PSV:28.8cm/s ,舒张早期血流缺失








| 妇产科在线 Copyright © 2010 www.cogonline.com. All Rights Reserved | 企业支持: 网络支持: |