| 妇幼健康网 妇科微创网 中医妇科网 妇产科感染网 女性盆底网 宫腔镜网 产科网 |

第四届胎儿出生缺陷产前超声诊断及咨询高级课程(2015)
2015年5月8日-10日 上海
负责人:
首都医科大学附属北京妇产医院北京妇幼保健院超声医学科 吴青青 教授
首都医科大学附属北京妇产医院北京妇幼保健院产前诊断中心
第四军医大学西京医院李军 教授
ISUOG 常委,英国伦敦大学St George 医院 Aris Papageorghiou 教授...[详细]
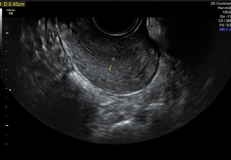
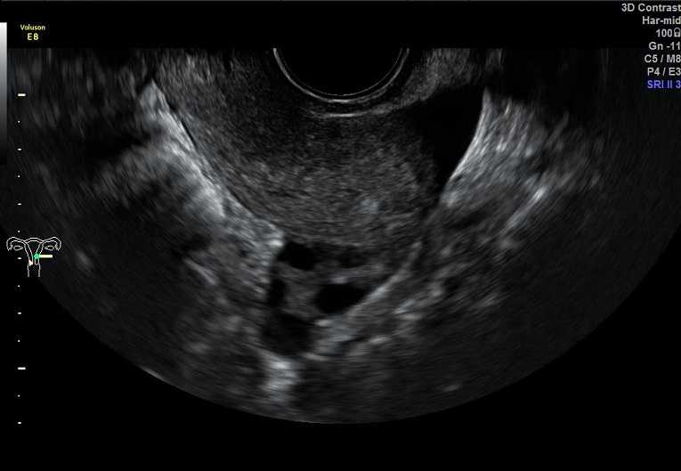
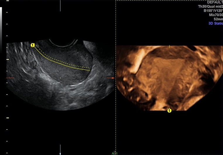
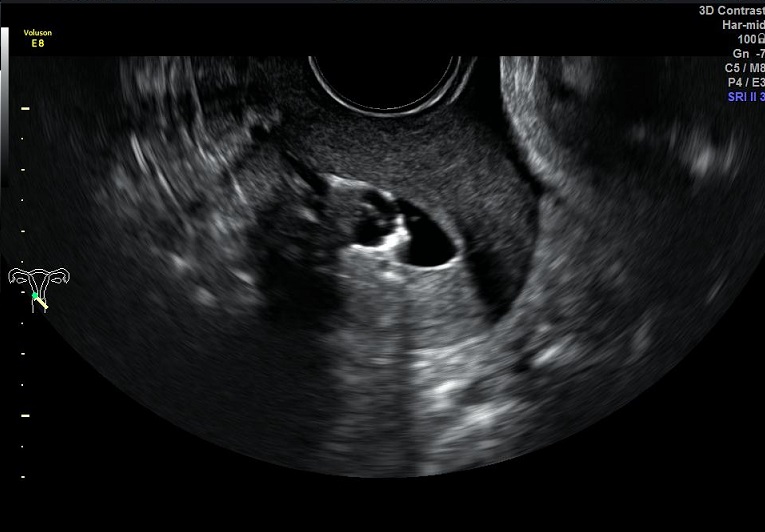
女性,30岁,继发性不孕2年,左侧输卵管宫外孕术后。常规二维超声子宫、卵巢及宫腔三维均未发现明显异常。宫腔置管后,宫腔水造影显示:宫腔稍见膨隆,内膜面光整,推注时有阻力。子宫输卵管实时三维超声造影显示:左侧输卵管未显示,右侧输卵管近端纤细,远端稍膨大,走行呈“S”行弯曲。诊断:左侧输卵管不通,右侧输卵管通而不畅。




| 妇产科在线 Copyright © 2010 www.cogonline.com. All Rights Reserved | 企业支持: 网络支持: |