| 妇幼健康网 妇科微创网 中医妇科网 妇产科感染网 女性盆底网 宫腔镜网 产科网 |

第四届胎儿出生缺陷产前超声诊断及咨询高级课程(2015)
2015年5月8日-10日 上海
负责人:
首都医科大学附属北京妇产医院北京妇幼保健院超声医学科 吴青青 教授
首都医科大学附属北京妇产医院北京妇幼保健院产前诊断中心
第四军医大学西京医院李军 教授
ISUOG 常委,英国伦敦大学St George 医院 Aris Papageorghiou 教授...[详细]
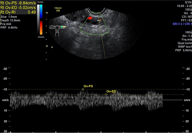
女性,27岁,原发性不孕。
2015-1-12,月经第3天检查
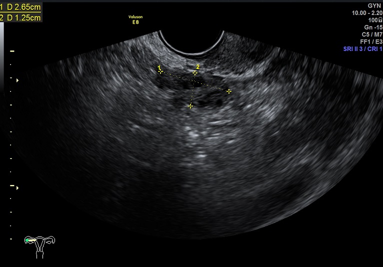
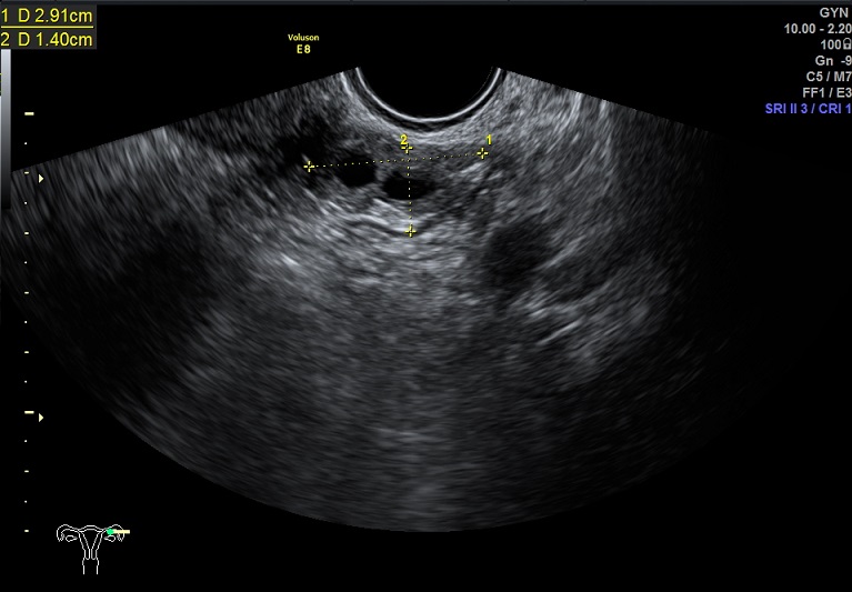
左卵巢: 大小2.9x2.3x1.4cm 体积:4.8 窦卵泡:4个 卵巢间质血流:9.8cm/s RI:0.49
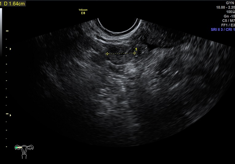
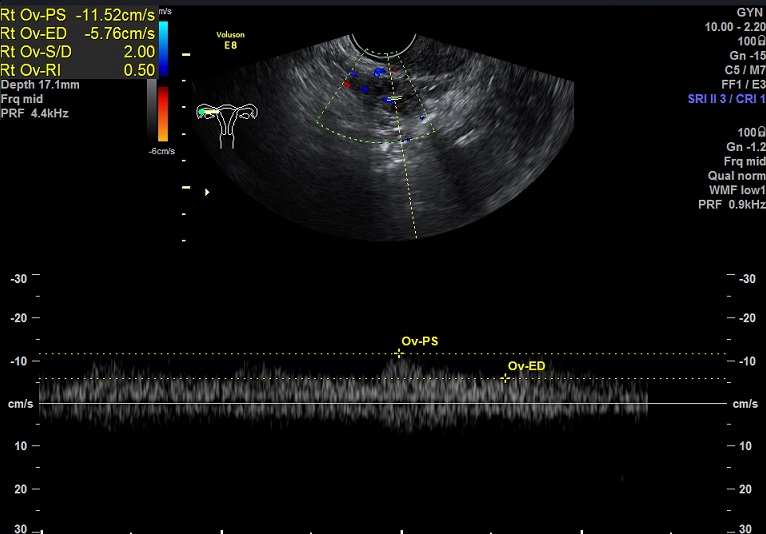
右卵巢: 大小 2.6x1.6x1.3cm 体积:2.8 窦卵泡:2个 卵巢间质血流:11.5cm/s RI:0.52
2015-1-12化验数据:
E2: 44.5 LH: 6.3 FSH: 7.55 P: 4.52 TES: <0.35 PRL: 13.17
>








| 妇产科在线 Copyright © 2010 www.cogonline.com. All Rights Reserved | 企业支持: 网络支持: |