| 妇幼健康网 妇科微创网 中医妇科网 妇产科感染网 女性盆底网 宫腔镜网 产科网 |

第四届胎儿出生缺陷产前超声诊断及咨询高级课程(2015)
2015年5月8日-10日 上海
负责人:
首都医科大学附属北京妇产医院北京妇幼保健院超声医学科 吴青青 教授
首都医科大学附属北京妇产医院北京妇幼保健院产前诊断中心
第四军医大学西京医院李军 教授
ISUOG 常委,英国伦敦大学St George 医院 Aris Papageorghiou 教授...[详细]
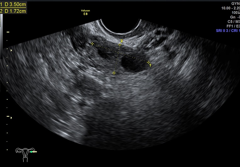
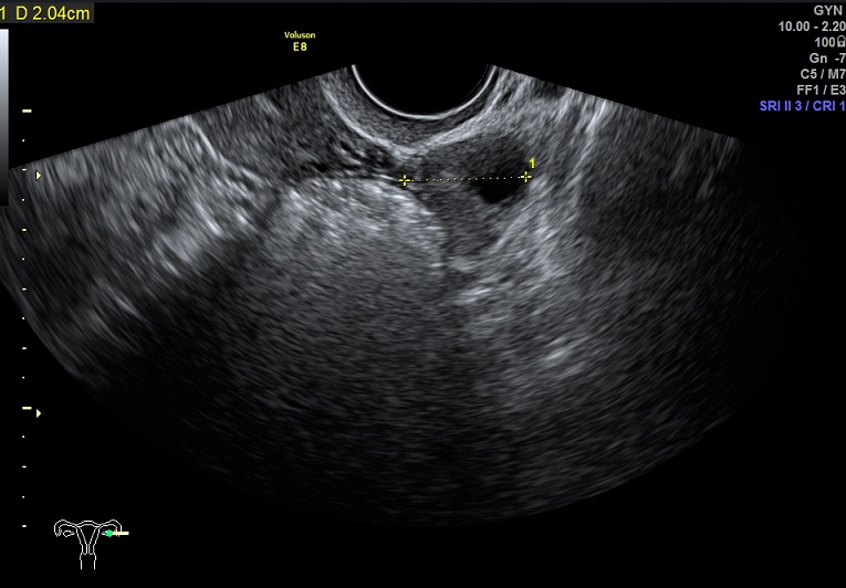
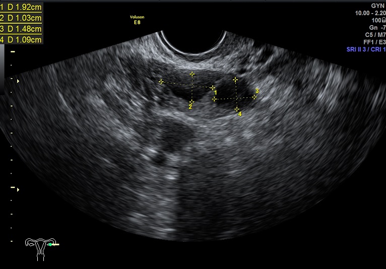
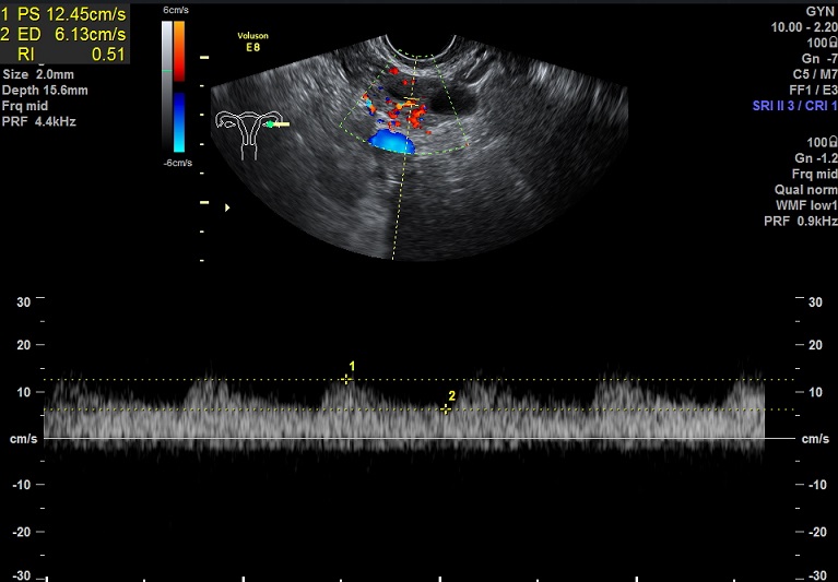
女性,32岁,继发性不孕3年,孕2产1。
2015-1-7,月经第5天检查
左卵巢: 大小3.5x2.0x1.7cm 体积:6.2 窦卵泡:无 左卵巢见两枚大卵泡:1.9x1.2x1.0cm、1.5x1.2x1.1cm 卵巢间质血流:9.8cm/s RI:0.49
右卵巢: 大小3.3x2.0x1.1cm 体积:5.5 窦卵泡:5 卵巢间质血流:12.5cm/s RI:0.51
2015-1-6化验指标
E2:50.19 LH:0.98 FSH:6.91 P:2.03 TES:1.88 PRL:13.35





| 妇产科在线 Copyright © 2010 www.cogonline.com. All Rights Reserved | 企业支持: 网络支持: |