| 妇幼健康网 妇科微创网 中医妇科网 妇产科感染网 女性盆底网 宫腔镜网 产科网 |

第四届胎儿出生缺陷产前超声诊断及咨询高级课程(2015)
2015年5月8日-10日 上海
负责人:
首都医科大学附属北京妇产医院北京妇幼保健院超声医学科 吴青青 教授
首都医科大学附属北京妇产医院北京妇幼保健院产前诊断中心
第四军医大学西京医院李军 教授
ISUOG 常委,英国伦敦大学St George 医院 Aris Papageorghiou 教授...[详细]
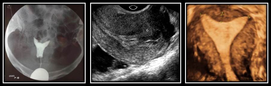
女性患者34岁,孕2产1,继发不孕5年,输卵管碘油造影显示双侧输卵管不通,二维及三维超声提示弓形子宫,其他未见明显异常,而2次行胚胎移植术,但均未获成功,经宫腔镜检查确诊为宫腔多发息肉。


| 妇产科在线 Copyright © 2010 www.cogonline.com. All Rights Reserved | 企业支持: 网络支持: |